์ตํ์ฑ
(Ha-Seong Choi)
1iD
์ด์ ํธ
(Jung-Ho Lee)
2,โ iD
-
๋๊ตฌ๋ํ๊ต ์๋ช
๊ณผํ๊ณผ
(Department of Biological Science, Daegu University)
-
๋๊ตฌ๋ํ๊ต ์๋ฌผ๊ต์ก๊ณผ
(Department of Biology Education, Daegu University)
Copyright ยฉ KOREAN SOCIETY ON WATER ENVIRONMENT
Key words
Cell death ratio, Harmful algal bloom, Long-term growth suppression, Microcystis aeruginosa, UV-C irradiation
1. Introduction
๋ณธ ์ฐ๊ตฌ์ ์ฌ์ฉ๋ ๋จ์ธ๊ท ์ธ Microcystis aeruginosa๋ ๊ดํฉ์ฑ์ ์ํํ๋ ์ํต์๋ฌผ๋ก ์ฒด๋ด์ ์๊ณตํฌ(Pseudo-vacuole)๋ฅผ ์ด์ฉํด ์์ง ์ด๋ํ๋ฉฐ ์ผ์ฃผ์ฑ์ ํน์ฑ์ด ์๋ ๊ตฐ์ฒด๋ฅผ ํ์ฑํ๋ค(Codd et al., 2005; Graham et al., 2009; Park, 2012). M. aeruginosa๋ฅผ ํฌํจํ ์ผ๋ถ ๋จ์ธ๊ท ์ ์ ์ธ๊ณ์ ์ผ๋ก ์์ง ์
ํ๋ฅผ ์ ๋ฐํ๋ ๋
น์กฐํ์(Algal bloom)์ ์ฃผ์ ์์ธ์ผ๋ก ์๋ ค์ ธ ์์ผ๋ฉฐ(Nagayama et al., 2003; Takaara et al., 2010), 2-MIB (2-methylisoborneol)์ ์ง์ค์ค๋ฏผ(geosmin) ๊ฐ์ ์ด์ทจ๋ฏธ๋ฅผ ์ ๋ฐํ๋ ๋ฌผ์ง์ ์์ฑํ์ฌ ์์์ ์ด์ฉ์ ์ฌ๊ฐํ ๋ถํธ์
์ด๋ํ๋ค(Hargesheimer and Watson, 1996; Sugiura et al., 1998). ๋ํ, microcystin ๋ฑ ๊ฐ๋
์ฑ ๋ฌผ์ง์ ์์ฑํ ๋ฟ๋ง ์๋๋ผ ๋ด์ ์ํ๊ณ์ ๋ณด๊ฑด์์ ์
์ํฅ์ ์ค ์ ์๋ค(Falconer, 2001; Sakai et al., 2007). ๋ธ๋ผ์ง์์๋ ๋ฏธ์ฒ๋ฆฌ์ ๋ด microcystin์ ๋
ธ์ถ๋ 101๋ช
์ค 50๋ช
์ด ๊ธ์ฑ ๊ฐ๋ถ์ ์ผ๋ก ์ฌ๋งํ์๊ณ (Jochimsen et al., 1998), ํธ์ฃผ์์๋ ๋
น์กฐ ๋ฐ์์ผ๋ก 800๋ช
์ด ํผ๋ถ ๋ฐ์ง, ์๊ตฌ ๊ฐ์ผ, ๊ตฌ๊ฐ ๊ถค์ ๋ฑ์ ๊ฒช์ ์ฌ๋ก๊ฐ ๋ณด๊ณ ๋ ๋ฐ ์๋ค(Pilotto et al., 1997). ๋์๊ฐ ์ ์ ๊ณผ์ ์์๋ ์์ง๊ณผ ์ฌ๊ณผ ์ฅ์ ๋ฅผ ์ ๋ฐํ์ฌ ๋น์ฉ ์ฆ๊ฐ์ ๊ฐ์ ๊ฒฝ์ ์ ์์ค์ ์ด๋ํ๋ค(Kang et al., 2005). ๊ตญ๋ด์์๋ ์ฌ๋ฆ์ฒ ๊ณ ์์จ๊ธฐ์ Microcystis ์์ด ์ฐ์ ํ๋ฉด์ ๋๊ท๋ชจ ๋
น์กฐํ์์ด ๋ฐ๋ณต์ ์ผ๋ก ๋ฐ์ํ๊ณ ์์ด(Ahn et al., 2003), ์ด์ ๋ํ ํจ๊ณผ์ ์ธ ๊ด๋ฆฌ ๋ฐฉ์์ด ์๊ตฌ๋๊ณ ์๋ค.
๋
น์กฐ๋ฅผ ์ ์ดํ๊ธฐ ์ํ ๋ฐฉ๋ฒ ์ค ํธ์ ๋ฑ์์ ์ด์กฐ์ ๋ก ๋๋ฆฌ ์ฌ์ฉ๋๋ ํฉ์ฐ๋ (CuSO4)์ ๋นํ์ ์๋ฌผ์ ๋ฏธ์น๋ ๋
์ฑ ๋ฑ ํ๊ฒฝ์ ์ฐ๋ ค๊ฐ ์ ๊ธฐ๋๊ณ ์๋ค(Sakai et al., 2007). ์ด๋ฌํ ๋ฌธ์ ์ ์ ์นํ๊ฒฝ์ ์ด๋ฉฐ ์ง์ ๊ฐ๋ฅํ ๋์ฒด ๊ธฐ์ ์ ํ์์ฑ์ ๋ถ๊ฐ์์ผฐ๋ค. ์ด์ ๋ํ ๋์์ผ๋ก UV ์ฒ๋ฆฌ๋ ์๋
๋ถ์ฐ๋ฌผ์ ํ์ฑ์ด ์ ๊ณ , ์ ์งโ
๊ด๋ฆฌ์ ์ฉ์ด์ฑ, ๊ทธ๋ฆฌ๊ณ ๋จ์ธ๊ท ์ฑ์ฅ ์ต์ ํจ๊ณผ ๋ฑ์ ์ฅ์ ์ ๊ฐ์ง๋ฏ๋ก, ๊ธฐ์กด ํํ์ ์ฒ๋ฆฌ๋ฅผ ๋์ฒดํ ์ ์๋ ํฉ๋ฆฌ์ ์ธ ๋ฐฉ์์ด ๋ ์ ์๋ค(Oppenheimer et al., 1997; Sakai et al., 2007; Tekiner et al., 2019).
UV๋ ํ์ฅ ๊ธธ์ด์ ๋ฐ๋ผ UV-A (320โ400 nm), UV-B (290โ320 nm), UV-C (200โ290 nm)๋ก ๊ตฌ๋ถ๋๋ค(de Gruijl and Leun, 2000). ์ ํ ์ฐ๊ตฌ์ ๋ฐ๋ฅด๋ฉด 284 nm ์ดํ์ ํ์ฅ์ ์ธํฌ ์์์ ํจ๊ณผ์ ์ด๋ฉฐ(Holzinger and Lรผtz, 2006; Lรผtz et al., 1997), ๊ทธ์ค UV-C๋ DNA ๊ตฌ์กฐ๋ฅผ ์ง์ ์ ์ผ๋ก ํ๊ดดํ์ฌ ์ธํฌ ๋ณต๊ตฌ๋ฅผ ์ด๋ ต๊ฒ ํ๊ณ ์ฅ๊ธฐ์ ์ธ ์์ฅ ์ต์ ๋ฅผ ์ ๋ํ๋ฉฐ ํ๋ณต ๊ฐ๋ฅ์ฑ์ด ์ผ์ ์ฒ๋ฆฌ ๋๋น ๋ฎ๋ค๊ณ
๋ณด๊ณ ๋์๋ค(Keyser et al., 2008). ๋ํ, ์ผ์ ์ฒ๋ฆฌ์ ๋ฌ๋ฆฌ ๋
์ฑ ๋ถ์ฐ๋ฌผ์ ๋จ๊ธฐ์ง ์์ ์นํ๊ฒฝ์ ์ ์ด ๊ธฐ์ ๋ก์์ ์ฅ์ ์ ๊ฐ์ง๋ค(Oppenheimer et al., 1997).
๊ตญ๋ด์ธ์์๋ UV-LED ๊ธฐ๋ฐ ์กฐ๋ฅ ๋
์ ๋ฐ ์ ๊ธฐ๋ฌผ ๋ถํด(Yang et al., 2017), ํํ์ ์ด์กฐ์ ์ ๋ํ M. aeruginosa ๋ฐ์์ฑ ๋ถ์(Choi et al., 2024), UV ์กฐ์ฌ ๊ธฐ๋ฐ M. aeruginosa ๋ถํ์ฑํ ๊ธฐ๋ฒ(Alam et al., 2001) ๋ฑ ๋ค์ํ ์ด์กฐ ์ฐ๊ตฌ๊ฐ ์ํ๋์๋ค. ํ์ง๋ง ๊ธฐ์กด ์ฐ๊ตฌ๋ ์ฃผ๋ก ๋จ๊ธฐ๊ฐ ์คํ์ ๊ตญํ๋์ด ์์ผ๋ฉฐ, ์๋ฌผ๋ ๋ณํ๋ฅผ ์ธก์ ํ๊ธฐ ์ํ ์ธํฌ ๊ณ์๋ฒ์ ์ค์ ์ธํฌ์
์์ฌ ์ฌ๋ถ๋ฅผ ์ ํํ ํ๋ณํ๊ธฐ ์ด๋ ค์ด ํ๊ณ๊ฐ ์์๋ค. ๋ฐ๋ผ์ ๋ณธ ์ฐ๊ตฌ์์๋ 14์ผ ์ด์์ ์ฅ๊ธฐ ๋ฐฐ์๊ณผ ์์ธํฌ์ ์ฌ์ธํฌ๋ฅผ ๊ตฌ๋ถํ๊ธฐ ์ํ ์ธํฌ ์ผ์๋ฒ์
๋์
ํ์ฌ UV-C ์กฐ์ฌ์ ๋ฐ๋ฅธ M. aeruginosa์ ์ธํฌ ์ฌ๋ฉธ๋ฅ ๋ฐ ์์ฅ ์ต์ ํจ๊ณผ๋ฅผ ์ ๋์ ์ผ๋ก ํ๊ฐํ์๋ค. ์ด๋ฅผ ํตํด ๋
น์กฐ ๋ฐ์ ์ด๊ธฐ ์กฐ๋ฅ ์ ๊ฐ ๋ฐฉ์์ผ๋ก์ UV-C์ ์ ์ฉ ๊ฐ๋ฅ์ฑ์ ํ์ธํ๊ณ , ์ต์
์กฐ์ฌ ์กฐ๊ฑด ์ ์๋ฅผ ํตํด ์์ง ๊ด๋ฆฌ์์์ UV-C ํ์ฉ์ ๋ํ ๊ณผํ์ ๊ทผ๊ฑฐ๋ฅผ ๋ง๋ จํ๊ณ ์ ํ๋ค.
2. Materials and Methods
2.1 ์คํ ๊ท ์ฃผ M. aeruginosa์ ๋ฐฐ์
๋ณธ ์ฐ๊ตฌ์์ ์ฌ์ฉ๋ ๋จ์ธ๊ท ์ธ M. aeruginosa๋ ํ๊ตญ์๋ช
๊ณตํ์ฐ๊ตฌ์์ KCTC (Korean Collection for Type Cultures)์์ ๊ท ์ฃผ(AG60752)๋ฅผ ์ ๊ณต๋ฐ์๋ค. ๊ท ์ฃผ๋
150 mL ์ธํฌ ๋ฐฐ์ ํ๋ผ์คํฌ(Cell culture flask)์ BG-11 ๋ฐฐ์ง(๊ธฐ์ฐ๋ฐ์ด์ค, BG11 Agar, MB-B0871) 100 mL๋ฅผ
๋ด์ ์งํ๋ฐฐ์๊ธฐ(Hanbaek, HB-201SLI)์์ 100 rpm์ผ๋ก ๊ต๋ฐํ๋ฉฐ ๋ฐฐ์ํ์๋ค. ๋ฐฐ์ ์กฐ๊ฑด์ 25โ์ ์จ๋์ 80 ยตmol m-1 s-1์ ๋ฐฑ์ด๋ฑ์์ 16์๊ฐ์ ๊ด์ฃผ๊ธฐ์ 8์๊ฐ์ ์์ฃผ๊ธฐ(16L:8D cycle)๋ฅผ ๊ฐ์ง๋ ๊ด์กฐ๊ฑด์ผ๋ก ์ค์ ํ์๋ค.
2.2 M. aeruginosa์ ์ฌ๋ฉธ ๋ฐ ์์ฅ ์ต์ ํจ๊ณผ ๋ถ์ ๋ฐฉ๋ฒ
2.2.1 ์๋ฌผ๋ ์ธก์ ์ ์ํ ์ธํฌ๋ฐ๋์ ์ฐ์ถ
์๋ฃ์ ์ธํฌ ์๋ ํ๊ตฌ๊ณ์๊ธฐ(Marienfeld counting chambers with V-slash)์ ๊ดํํ๋ฏธ๊ฒฝ(Zeiss, Axioscope
2.0)์ ์ฌ์ฉํ์ฌ 400๋ฐฐ์ ๋ฐฐ์จ๋ก ์ง์ ๊ณ์ํ์๋ค. ์ธํฌ๋ฐ๋๋ ์๋์ ์์ ํตํด ๊ณ์ฐํ์์ผ๋ฉฐ, ์ฒ์ ์๋ฆฌ์์ ๋ฐ์ฌ๋ฆผํ์ฌ ์ฐ์ถํ์๋ค. ์ธํฌ๋ฐ๋๋
๊ฐ ์๊ฐ๋ณ ์ฑ์ํ ์๋ฃ๋ฅผ 3ํ ๋ฐ๋ณต ๊ณ์ํ์ฌ, ์ด๋ฅผ ํ๊ท ๊ฐ์ผ๋ก ์ ์ํ์๋ค.
C=๊ณ์๋ ๊ฐ์ฒด์์ ํฉ
A=ํ๊ตฌ๊ณ์๊ธฐ ๋ฉด์ (mm2)
D=ํ๊ตฌ๊ณ์๊ธฐ ๊น์ด (mm)
N=๊ฒ๊ฒฝํ ์์ผ์ ํ์
2.2.2 M. aeruginosa์ ์ฌ์ธํฌ ์ผ์
M. aeruginosa์ ์ธํฌ ์ฌ๋ฉธ๋ฅ ์ ํ๊ฐํ๊ธฐ ์ํด Erythrosin B (CAS No. 16423-68-0)๋ฅผ ์ฌ์ฉํ์ฌ ์ฌ์ธํฌ๋ฅผ ์ผ์ํ์๋ค. Erythrosin B๋
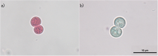
์ธํฌ๋ง์ด ์์๋ ์ฌ์ธํฌ๋ฅผ ์ ํ์ ์ผ๋ก ์ผ์ํ์ฌ ๊ดํํ๋ฏธ๊ฒฝ์ ํตํด ์์ธํฌ์ ์ฌ์ธํฌ๋ฅผ ๊ตฌ๋ณํ ์ ์๊ฒ ํ๋ค. ๋ณธ ์ฐ๊ตฌ์์๋ Calomeni et al. (2015)์ Franke et al. (2020)์ ์ฐ๊ตฌ๋ฅผ ์ฐธ๊ณ ํ์ฌ 0.2% Erythrosin B ์ฉ์ก๊ณผ M. aeruginosa ๋ฐฐ์์ธํฌ ํํ์ก์ 1:1 (v/v) ๋น์จ๋ก ํผํฉ ํ 50๋ถ๊ฐ ์ผ์ํ์๋ค(Fig. 1).
Fig. 1. Microscopic photographs of M. aeruginosa cells mixed with a 0.2% Erythrosin B solution to confirm cell death. (a): stained
dead cells of M. aeruginosa. (b): unstained live cells of M. aeruginosa.
2.2.3 ์ธํฌ ์ผ์๋ฒ์ ํตํ ์ธํฌ ์ฌ๋ฉธ๋ฅ ์ ์ฐ์ถ
์ธํฌ ์ฌ๋ฉธ๋ฅ ์ธก์ ์ ์ํด Erythrosin B๋ฅผ ์ด์ฉํ ์ธํฌ ์ผ์๋ฒ์ ์ ์ฉํ์๋ค. ์ผ์์ฝ๊ณผ ํผํฉํ 1 mL์ ์๋ฃ๋ฅผ ํ๊ตฌ๊ณ์๊ธฐ์ ์ฃผ์
ํ ๋ค, ์์๋ก
์ ์ ๋ 400๋ฐฐ ๋ฐฐ์จ์ ํ๋ฏธ๊ฒฝ ์์ผ์์ 15๋ถ ์ด๋ด์ 500๊ฐ ์ด์์ ์ธํฌ๋ฅผ ๊ณ์ํ์๋ค. ์ด ๊ณผ์ ์์ ์ผ์๋ ์ฌ์ธํฌ์ ์ผ์๋์ง ์์ ์์ธํฌ๋ฅผ ๊ตฌ๋ถํ์ฌ
๊ณ์ํ์๋ค. ์ธํฌ ๊ณ์ ์, UV-C ์กฐ์ฌ๋ก ์ธํด ์ธํฌ๋ง์ ํํ๋ฅผ ์จ์ ํ ์ ์งํ์ง ๋ชปํ๊ฑฐ๋, ์ธํฌ ๋ด๋ถ์ ์์๊ฐ ํ์๋ ์ธํฌ๋ ์ฌ์ธํฌ๋ก ๊ฐ์ฃผํ์ฌ ๊ณ์ํ์๋ค(Fig. 2).
Fig. 2. Microscopic photographs of M. aeruginosa cells that have lost structural membrane integrity or exhibit intracellular pigment
loss following UV-C irradiation.
์ธํฌ ์ฌ๋ฉธ๋ฅ ์ ๋จ์ ๋ถํผ๋น ๊ณ์๋ ์ ์ฒด ์ธํฌ ์ ์ค์ ์ผ์๋ ์ธํฌ ์์ ๋น์จ์ ๊ณ์ฐํ์์ผ๋ฉฐ, ์ธํฌ ์๋ฅผ ์ฒ์ ์๋ฆฌ์์ ๋ฐ์ฌ๋ฆผํ์ฌ ์ฐ์ถํ์๋ค. ๊ฐ ์๊ฐ๋ณ
์ฑ์ํ ์๋ฃ๋ฅผ 3ํ ๋ฐ๋ณต ๊ณ์ํ์ฌ ์ธํฌ ์ฌ๋ฉธ๋ฅ ์ ๊ตฌํ์์ผ๋ฉฐ, ์ด๋ฅผ ํ๊ท ๊ฐ์ผ๋ก ์ ์ํ์๋ค.
2.3 UV-C ์กฐ์ฌ ์คํ
๋ณธ ์ฐ๊ตฌ์์๋ 254 nm ํ์ฅ, 4.8 mJ cm-3 ์ธ๊ธฐ, 356mm Length (BF-BF), 15 Tube Diameter (mm)์ UV-C ๋จํ(Hansung Ultraviolet Co.,
Ltd, G10T5VH/4P or SP)๋ฅผ ์ฌ์ฉํ์๋ค. M. aeruginosa ๋ฐฐ์์ธํฌ๋ฅผ BG-11 ๋ฐฐ์ง์ ํผํฉํ์ฌ ์ด๊ธฐ ์ธํฌ ๋๋ 1,000,000 cells mL-1์ M. aeruginosa ๋ฐฐ์์ธํฌ ํํ์ก 4 L๋ฅผ ์ ์กฐํ๊ณ ์์กฐ์ ์ค๋นํ์๋ค. UV ์กฐ์ฌ๋ฅผ ์ํด ์ ์๋ ์์กฐ(๋์ด = 15 cm, ๊ฐ๋ก = 13 cm, ์ธ๋ก = 37.5
cm)์ ๋ฐฐ์์ธํฌ ํํ์ก์ ์ฑ์ ์ผ๋ฉฐ, UV-C ๋จํ๋ ์์กฐ ๋ฐ๋ฅ์์ 7.5 cm ์์ ๊ณ ์ ํ์๊ณ , ์กฐ์ฌํ๋ ๋น์ ์ธ๊ธฐ๋ 4.8 mJ cm-3๋ก ์ค์ ํ์๋ค. ์๋ฌผ๋ ์ธก์ ์ ์ค์ฐจ๋ฅผ ์ต์ํํ๊ธฐ ์ํด ํํ์ก์ ๋ง๊ทธ๋คํฑ ๋ฐ์ ๊ต๋ฐ๊ธฐ(CORNING, PC-420D)๋ฅผ ์ด์ฉํด 200 rpm์ผ๋ก ๊ต๋ฐํ๋ฉฐ
์คํ ๋์ ๊ท ์งํ๊ฒ ์ ์งํ์๋ค (Fig. 3).
Fig. 3. Schematic diagram of the experimental setup for UV-C irradiation of Microcystis aeruginosa cell suspension.
2.3.1 UV-C๋ฅผ ์ด์ฉํ M. aeruginosa์ ์ง์ ์ธํฌ์ฌ๋ฉธ ์คํ
UV-C๊ฐ M. aeruginosa์ ์ธํฌ ์ฌ๋ฉธ์ ๋ฏธ์น๋ ์ง์ ์ ์ธ ์ํฅ์ ํ์ธํ๊ธฐ ์ํด, ์ด๊ธฐ ์ธํฌ ๋๋ 1,000,000 cells mL-1์ M. aeruginosa ๋ฐฐ์์ธํฌ ํํ์ก 4 L์ UV-C๋ฅผ ์กฐ์ฌํ์๋ค. UV-C ์กฐ์ฌ๋ ์ด 10๋ถ๊ฐ ์งํํ์์ผ๋ฉฐ, 1๋ถ ๊ฐ๊ฒฉ์ผ๋ก ๊ฐ ์กฐ์ฌ ์๊ฐ(0โผ10๋ถ)๋ง๋ค ์์กฐ ์ค์์
๊ธฐ์ค์ผ๋ก 9.4 cm ๊ฐ๊ฒฉ์ 3๊ฐ ์ง์ ์์ ๊ฐ๊ฐ 1 mL์ฉ ์๋ฃ๋ฅผ ์ฑ์ํ์๋ค. ์ฑ์ทจํ ์๋ฃ๋ ๊ท ๋ฑํ๊ฒ ํผํฉํ์ฌ ๋ถ์์ ์ฌ์ฉํ์์ผ๋ฉฐ, ์ฑ์ทจ ์งํ 1์๊ฐ
์ด๋ด์ ์ธํฌ ์ฌ๋ฉธ๋ฅ ์ ์ธก์ ํ์๋ค.
2.3.2 ์ฅ๊ธฐ ์์ฅ ์ต์ ์คํ
UV-C์ ์ฅ๊ธฐ์ ์ธ ์์ฅ ์ต์ ํจ๊ณผ๋ฅผ ํ์ธํ๊ธฐ ์ํด, ๋์ผ ์กฐ๊ฑด(์ด๊ธฐ ์ธํฌ๋ฐ๋ 1,000,000 cells mL-1, 4L, ๋์ผ ๋จํ ๋ฐ ๊ต๋ฐ๊ธฐ)์์ UV-C๋ฅผ ์คํ ์์ ์ 2๋ถ ๋ฐ 5๋ถ์ฉ 1ํ ์กฐ์ฌํ์๋ค. ์ดํ 19์ผ ๋์ ๋ฐฐ์ํ์์ผ๋ฉฐ, 24์๊ฐ ๊ฐ๊ฒฉ์ผ๋ก
์๋ฃ๋ฅผ ์ฑ์ํ์ฌ, ์ธํฌ๋ฐ๋์ ์ธํฌ ์ฌ๋ฉธ๋ฅ ์ ๊ฐ๊ฐ ์ธก์ ํ์๋ค. ์ธํฌ ์ฌ๋ฉธ๋ฅ ์ ๋์ผํ๊ฒ Erythrosin B ์ธํฌ ์ผ์๋ฒ๊ณผ ํ๊ตฌ๊ณ์๋ฒ์ ์ด์ฉํด ์ฐ์ถํ์๋ค.
3. Results and Discussion
3.1 UV-C ์กฐ์ฌ ์๊ฐ์ ๋ฐ๋ฅธ M. aeruginosa ์ง์ ์ฌ๋ฉธ ํจ๊ณผ
UV-C๋ฅผ ์ฒ์ ์กฐ์ฌํ๊ธฐ ์ M. aeruginosa ๋ฐฐ์์ธํฌ ํํ์ก์ ์ ์ฒด 1,000,000 cells mL-1 ์ค 8,000 cells mL-1์ ์ธํฌ๊ฐ ์ฌ๋ฉธํ์ฌ, 0.8%์ ํต์ ์ธํฌ ์ฌ๋ฉธ๋ฅ ์ ๋ณด์๋ค. UV-C๋ฅผ ์กฐ์ฌํ๊ณ 1๋ถ์ด ๊ฒฝ๊ณผ ํ ํ์๋ ํต์ ์ธํฌ ์ฌ๋ฉธ๋ฅ ์์ 0.8% ์ฆ๊ฐํ 1.6%๋ฅผ
๋ํ๋ด์๋ค. ์กฐ์ฌ ์๊ฐ์ด 2๋ถ์ ๊ฒฝ๊ณผ ํ ํ์๋ 3.5%๋ก 1๋ถ์ด ๊ฒฝ๊ณผ ํ ํ๋ณด๋ค 1.9% ์ฆ๊ฐํ์ฌ ์ฆ๊ฐํญ์ด ํฌ์ง ์์๋ ๋ฐ๋ฉด, ์กฐ์ฌ ์๊ฐ์ด 3๋ถ์
๊ฒฝ๊ณผ ํ ํ์๋ 15.7%, 4๋ถ์ ๊ฒฝ๊ณผ ํ ํ์๋ 39.2%์ ์ธํฌ ์ฌ๋ฉธ๋ฅ ์ ๋ํ๋ด์๋ค. ์กฐ์ฌ ์๊ฐ์ด 5๋ถ์ ๊ฒฝ๊ณผ ํ ํ์๋ 588,000 cells
mL-1์ ์ธํฌ๊ฐ ์ฌ๋ฉธํ์ฌ 58.8%์ ์ธํฌ ์ฌ๋ฉธ๋ฅ ์ ๋ํ๋ด์๋ค. ์กฐ์ฌ ์๊ฐ์ด 6๋ถ์ ๊ฒฝ๊ณผํ ํ์๋ 5๋ถ ๋๋น ์ธํฌ ์ฌ๋ฉธ๋ฅ ์ด 26.7% ์ฆ๊ฐํ 85.5%๋ฅผ
๋ํ๋์ผ๋ฉฐ, ์ด๋ 0โผ10๋ถ์ ์กฐ์ฌ ์๊ฐ ์ค ๊ฐ์ฅ ํฐ ์ฆ๊ฐ ํญ์ ๋ณด์๋ค. UV-C ์กฐ์ฌ ํ 7๋ถ์ด ๊ฒฝ๊ณผํ์์ ๋๋ 93.1%, 8๋ถ์ด ๊ฒฝ๊ณผํ์์ ๋๋
97.2%์ ์ธํฌ ์ฌ๋ฉธ๋ฅ ์ ๋ํ๋ด์์ผ๋ฉฐ, 9๋ถ๊ฐ ์กฐ์ฌํ์์ ๋๋ ๋ชจ๋ ์ธํฌ๊ฐ ์ฌ๋ฉธํ ๊ฒ์ผ๋ก ํ์ธ๋์๋ค(Fig. 4).
Fig. 4. Cell death ratios of UV-C irradiated M. aeruginosa according to treatment time.
๊ด๋ จ ๊ธฐ์กด์ ์ฐ๊ตฌ์์ UV-C๊ฐ M. aeruginosa์ ์ธํฌ๋ง๊ณผ ๊ด๊ณ(Photosystem)๋ฅผ ์์์์ผ ์ธํฌ ๋ด ์ฐํ ์คํธ๋ ์ค๋ฅผ ๊ทน๋ํํ๊ณ , ์ผ์ ์กฐ์ฌ ์๊ฐ ์ดํ ์ธํฌ ์ฌ๋ฉธ๋ฅ ์ด ๊ธ๊ฒฉํ ์ฆ๊ฐํ๋ ํ์์ด
๊ด์ฐฐ๋ ๋ฐ ์๋ค(Ou et al., 2011; Ou et al., 2012). ๋ํ, Zheng et al. (2024)๋ M. aeruginosa๋ฅผ ๋์์ UV-C ์กฐ์ฌ ์๊ฐ ์ฆ๊ฐ์ ๋ฐ๋ผ ์ธํฌ ์ฌ๋ฉธ๋ฅ ์ด ๊ธ๊ฒฉํ ์์นํ๋ ๊ฒฐ๊ณผ๋ฅผ ๋ณด๊ณ ํ์์ผ๋ฉฐ, ์ด๋ UV-C ์กฐ์ฌ๋์ด ๋์ ๋๋ฉด์ ์ธํฌ ๋ด ์์์ด ์๊ณ์น๋ฅผ
์ด๊ณผํ ๋ ์ธํฌ ์ฌ๋ฉธ์ด ๊ฐ์ํ๋๋ค๋ ๊ฒฐ๋ก ์ ์ ์ํ์๋ค. ๋ณธ ๋
ผ๋ฌธ์ ์คํ์์๋ 2โผ3๋ถ, 5โผ6๋ถ ๊ตฌ๊ฐ์์ ์ธํฌ ์ฌ๋ฉธ๋ฅ ์ด ๊ธ๊ฒฉํ ์ฆ๊ฐํ๋ ์ ์ฌํ ๊ฒฐ๊ณผ๊ฐ
๋ํ๋ฌ์ผ๋ฏ๋ก, ๋์ผํ ๊ธฐ์ ์ด ์์ธ์ธ ๊ฒ์ผ๋ก ํ๋จ๋๋ค.
3.2 UV-C ์กฐ์ฌ์ M. aeruginosa ์์ฅ ์ต์ ํจ๊ณผ
UV-C ์กฐ์ฌ ์๊ฐ์ ๋ฐ๋ฅธ M. aeruginosa์ ์ง์ ์ธํฌ์ฌ๋ฉธ ํจ๊ณผ ์คํ์์ 100.0% ์ฌ๋ฉธ์๋ ์ด 9๋ถ์ด ์์๋จ์ ํ์ธํ์๋ค.
UV ์กฐ์ฌ ์๊ฐ์ ์ฆ๊ฐ๋ UV ๋จํ์ ๋
ธํ๋ฅผ ๊ฐ์ํํ๊ณ ํจ์จ์ ๊ฐ์๋ฅผ ์ผ์ผํค๋ฉฐ, ๊ต์ฒด์ฃผ๊ธฐ๋ฅผ ๋นจ๋ผ์ง๊ฒ ํ์ฌ ์ ์ง๋น์ฉ์ ์ฆ๊ฐ๋ฅผ ์ด๋ํ๋ค(Mamane-Gravetz and Linden, 2004). ๋๋ฌธ์ ๋
น์กฐ ๋ฐ์ ํ์ฅ์์ M. aeruginosa๋ฅผ 100% ์ฌ๋ฉธ์ํค๊ธฐ ์ํด UV-C๋ฅผ 9๋ถ ๋์ ์กฐ์ฌํ๋ ๊ฒ์ ์์ฒด์ ์ฒด๋ฅ์๊ฐ์ ๋ฐ๋ฅธ ์ฒ๋ฆฌ์ฉ๋๊ณผ ๋น์ฉ์ ์ธ ์ธก๋ฉด์ ๊ณ ๋ คํ ๋ ํจ์จ์ ์ด์ง ์๋ค๊ณ ํ๋จ๋์ด,
UV-C์ M. aeruginosa ์ธํฌ ์ง์ ์ฌ๋ฉธ ํจ๊ณผ ์ด์ธ์ UV-C ์กฐ์ฌ์ ์ธํฌ ์์ ํจ๊ณผ๋ก ์ธํ ์์ฅ ์ต์ ๋ฅผ ํ์ธํ๊ณ ์ ํ์๋ค.
9๋ถ๋ณด๋ค ๋ ์ ์ ์กฐ์ฌ ์๊ฐ์ผ๋ก M. aeruginosa์ ์์ฅ ์ต์ ํจ๊ณผ๊ฐ ๋ํ๋๋ ์ต์ ์กฐ์ฌ ์๊ฐ์ ํ์ธํ๊ณ ์ M. aeruginosa ๋ฐฐ์์ธํฌ ํํ์ก์ UV-C๋ฅผ 2๋ถ๊ณผ 5๋ถ๊ฐ ๊ฐ 1ํ๋ฅผ ์กฐ์ฌํ ํ 19์ผ ๋์ ๋ฐฐ์ํ๋ฉฐ ์์ฅ๋ฅ ์ ํ์ธํ๋ ์ถ๊ฐ ์คํ์ ์งํํ์๋ค.
3.2.1 ๋์กฐ๊ตฐ์ ์๋ฌผ๋ ๋ณํ
์คํ 1์ผ ์ฐจ์ ์ฌ์ธํฌ ์ผ์์ ํตํด ๋์กฐ๊ตฐ์ ์ธํฌ ์ฌ๋ฉธ๋ฅ ์ ์ธก์ ํ ๊ฒฐ๊ณผ 1,000,000 cells mL-1์ ์ธํฌ ์ค 32,000 cells mL-1์ ์ธํฌ๊ฐ ์ฌ๋ฉธํ์ฌ 3.2%์ ์ธํฌ ์ฌ๋ฉธ๋ฅ ์ ๋ํ๋ด์์ผ๋ฉฐ, ์ดํ ์ ์ฐจ์ ์ผ๋ก ์ฆ๊ฐํ์ฌ ์คํ 18์ผ ์ฐจ์๋ ์ฝ 1,800,000 cells mL-1์ ์ธํฌ ์ค ์ฝ 1,570,000 cells mL-1์ ์ธํฌ๊ฐ ์ฌ๋ฉธํ์ฌ ์คํ ๊ธฐ๊ฐ ์ค ๊ฐ์ฅ ๋์ 86.5%์ ์ธํฌ ์ฌ๋ฉธ๋ฅ ์ ๋ํ๋ด์๋ค(Fig. 5). ํนํ, ์คํ 7์ผ ์ฐจ์์ 11.1%์๋ ์ธํฌ ์ฌ๋ฉธ๋ฅ ์ 8์ผ ์ฐจ์ 32.6%๋ก ๊ธ๊ฒฉํ ์ฆ๊ฐํ์ฌ ์คํ ๊ธฐ๊ฐ ์ค ๊ฐ์ฅ ํฐ ์ฆ๊ฐ ํญ์ ๋ณด์๋ค. ํํธ,
๋์กฐ๊ตฐ์ ์ธํฌ๋ฐ๋๋ ์คํ 4์ผ ์ฐจ๋ถํฐ 12์ผ ์ฐจ๊น์ง 2,000,000 cells mL-1 ์ด์์ ์ ์งํ์๋ค(Fig. 5, 6).
์ธํฌ ์ฌ๋ฉธ๋ฅ ์ด ๊ธ๊ฒฉํ ์ฆ๊ฐํ์์๋ ๋ถ๊ตฌํ๊ณ , ์ธํฌ๋ฐ๋๊ฐ ์ผ์ ์์ค ์ด์์ผ๋ก ์ ์ง๋ ๊ฒ์ ์ธํฌ๋ฐ๋ ์ฐ์ถ ๊ณผ์ ์์ ์์ธํฌ์ ์ฌ์ธํฌ๋ฅผ ๊ตฌ๋ถํ์ง ์๊ณ ์ ์ฒด
์ธํฌ ์๋ฅผ ๊ณ์ํ์ฌ ์คํ ์ด๊ธฐ๋ถํฐ ์ถ์ ๋ ์ฌ์ธํฌ๊ฐ ์ธํฌ๋ฐ๋์ ํฌํจ๋์ด ์ค์ ์๋ฌผ๋๊ณผ ์ฐจ์ด๋ฅผ ๋ณด์ธ ๊ฒ์ผ๋ก ํ๋จ๋๋ค.
Fig. 5. Changes in cell death ratios of control and UV-C treated samples over 19 days
of cultivation, with UV-C initially irradiated only once.
3.2.2 UV-C๋ฅผ 2๋ถ๊ฐ 1ํ ์กฐ์ฌํ ์คํ๊ตฐ์ ์๋ฌผ๋ ๋ณํ
UV-C๋ฅผ 2๋ถ๊ฐ 1ํ ์กฐ์ฌํ ์คํ๊ตฐ์ ์ธํฌ ์ฌ๋ฉธ๋ฅ ์ ์ธก์ ํ ๊ฒฐ๊ณผ UV-C ์กฐ์ฌ ์งํ ์ด๊ธฐ ์ธํฌ๋ฐ๋์ธ 1,000,000 cells mL-1์ ์ธํฌ ์ค 58,000 cells mL-1์ ์ธํฌ๊ฐ ์ฌ๋ฉธํ์ฌ, 5.8%์ ์ธํฌ ์ฌ๋ฉธ๋ฅ ์ ๋ํ๋ด์๋ค. UV-C ์กฐ์ฌ ์งํ M. aeruginosa์ ์ธํฌ๋ฐ๋๋ ๊ธ๊ฒฉํ ๋ณํ๋ฅผ ๋ณด์ด์ง ์์๋๋ฐ, ์ด๋ UV-C ์กฐ์ฌ์ ์ํ ์ธํฌ๋ฐ๋์ ๋ณํ๊ฐ ์ฆ๊ฐ์ ์ผ๋ก ๋ํ๋์ง ์์ Ross et al. (2006)์ ๊ฒฐ๊ณผ์ ์ผ์นํ์์ผ๋ฉฐ, UV-C์ ์ํ ์ธํฌ ์์์ด ์ฆ๊ฐ์ ์ธ ์ธํฌ๋ฐ๋์ ๊ฐ์๋ก ์ด์ด์ง์ง ์์์์ ๋ํ๋ธ๋ค. ์ด์ ๋จ์ํ ์ธํฌ๋ฐ๋๋ก๋ง ๋
น์กฐ ํ์ ์ ์ด
ํจ๊ณผ๋ฅผ ํ๋จํ ๊ฒฝ์ฐ, UV ๋ฑ ์คํธ๋ ์ค ์ฒ๋ฆฌ ์งํ์ ํจ๊ณผ๋ฅผ ๊ณผ์ ๋๋ ๊ณผ๋ํ๊ฐํ ์ ์๋ค๊ณ ํ๋จํ์ฌ ์ธํฌ ์ผ์๋ฒ์ ์ด์ฉํด ์ฌ์ธํฌ์ ์์ธํฌ๋ฅผ ๊ตฌ๋ถํ์ฌ
๋ณด๋ค ์ ํํ ์๋ฌผ๋์ ๊ตฌํ๊ณ ์ ํ์๋ค.
์คํ 2์ผ ์ฐจ์๋ 11.0%, 3์ผ ์ฐจ์๋ 10.7%์ ์ธํฌ ์ฌ๋ฉธ๋ฅ ์ ๋ํ๋ด์์ผ๋ฉฐ, ์คํ 3์ผ ์ฐจ๊น์ง 1,000,000 cells mL-1 ์ด์์ ์ธํฌ๋ฐ๋๋ฅผ ์ ์งํ์๋ค. ์คํ 4์ผ ์ฐจ๋ถํฐ 671,000 cells mL-1์ดํ๋ก ์ธํฌ๋ฐ๋๊ฐ ๊ธ๊ฒฉํ๊ฒ ๊ฐ์ํ์์ผ๋ฉฐ, 78.7%๋ก ์ธํฌ ์ฌ๋ฉธ๋ฅ ์ด ์ฆ๊ฐํ์๋๋ฐ, ๋์กฐ๊ตฐ๊ณผ ์คํ๊ตฐ์ ์ธํฌ๋ฐ๋๊ฐ ๋๋ ทํ ์ฐจ์ด๋ฅผ ๋ณด์๋ค. ์ด๋ UV ์กฐ์ฌ
3์ผ ๋ค ์คํ๊ตฐ์ ์ธํฌ๋ฐ๋๊ฐ ๋์กฐ๊ตฐ์ 25.0% ์ดํ๋ก ๊ฐ์ํ Alam et al. (2001)์ UV์ ์ํ M. aeruginosa์ ๋ถํ์ฑํ ์คํ๊ณผ ์ ์ฌํ ์์์ ๋ํ๋ด์๊ณ , ๊ทธ ์์ธ์ ๋์ ๋ ์์์ด ์ธํฌ์ ์์ฅ ์ต์ ๋ฅผ ์ ๋ํ ๊ฒ์ผ๋ก ๋ณด์๋ค.
์คํ 3์ผ ์ฐจ๋ถํฐ๋ ์ธํฌ ๋ด๋ถ์ ์์๊ฐ ํ์๋๊ฑฐ๋ ์ธํฌ๋ง์ ํํ ๋ณํ๋ ์์์ผ๋ ์ฌ๋ฉธํ ์ธํฌ๋ฅผ ํ์ธํ์์ผ๋ฉฐ, ์คํ 7์ผ ์ฐจ์๋ ์ธํฌ๋ง์ ํํ๊ฐ ๋ณํ๋
์ธํฌ๊ฐ ๊ด์ฐฐ๋์๋ค. ์ด๋ UV๋ฅผ ์กฐ์ฌํ๊ณ 3์ผ ํ์ ์ธํฌ๊ฐ ํฌ๋ฏธํด์ง๊ณ 7์ผ ํ์๋ ์ธํฌ๋ง์ด ์์๋์๋ค๋ Alam et al. (2001)์ ๊ฒฐ๊ณผ์ ์ ์ฌํ์๊ณ , UV-C ์กฐ์ฌ๋์ ์ฆ๊ฐ๋ก ์ธํฌ ๊ดด์ฌ(Cell necrosis)๊ฐ ์ผ์ด๋๊ณ , ์ธํฌ ๋ฌด๊ฒฐ์ฑ(Cell Integrity)์ด ์์ค๋์ด
์๊ฐ์ ๊ฒฝ๊ณผ์ ๋ฐ๋ผ ์ธํฌ๊ฐ ์ฌ๋ฉธํ์๋ค๋ Ou et al. (2011)์ ๊ฒฐ๊ณผ์๋ ์ ์ฌํ์๋ค. ๋ํ, Ameisen (2002)์ Bidle and Falkowski (2004)๋ UV-C ์กฐ์ฌ์ ์ํ M. aeruginosa ์ธํฌ๋ง์ ์ง์ ์ ์ธ ํ๊ดด๋ก ์ธํฌ ๋ฌด๊ฒฐ์ฑ์ ์์ค์ด ์ธํฌ๊ฐ ์ธ๋ถ ์คํธ๋ ์ค์ ์ํด ์ค์ค๋ก ์ฌ๋ฉธํ๋ ์ธํฌ์์ ์ฌ(PCD, programmed cell death)๋ฅผ
์ ๋ฐํ ๊ฒ์ผ๋ก ํ๋จํ์๋ค.
์คํ 9์ผ ์ฐจ์๋ 94.5%๋ก ์คํ ๊ธฐ๊ฐ ์ค ๊ฐ์ฅ ๋์ ์ธํฌ ์ฌ๋ฉธ๋ฅ ์ ๋ํ๋ด์์ผ๋ฉฐ, 14์ผ ์ฐจ์๋ 69.8%๋ก ์ธํฌ ์ฌ๋ฉธ๋ฅ ์ด ๊ฐ์ํ์๋ค(Fig. 5, 6). ์ด๋ Tao et al. (2013)์ด ์งํํ ์คํ์์ ์ ์ ๋์ UV ์กฐ์ฌ๊ฐ M. aeruginosa์ ์ ์ ์ ๋ฐํ์ ์์์ ์ด๋ํ์ฌ 3โผ13์ผ ๋์ ์์ฅ์ ์ต์ ํ์์ผ๋ ์ ์ง์ ์ผ๋ก ํ๋ณต๋์๋ค๋ ๊ฒฐ๊ณผ์ ์ ์ฌํ์์ผ๋ฉฐ, He et al. (2016)๊ณผ Sakai et al. (2005)๊ฐ ์ธ๊ธํ ๋ฐ์ ๊ฐ์ด UV-C์ ์ํด ์์๋ ์ธํฌ์ ํ๋ณต ์ฒด๊ณ๊ฐ ์์ฉํ์ฌ ์์กดํ ์ธํฌ์ ์ผ๋ถ๊ฐ ํ๋ณต ๋ฐ ์ฆ์ํ ๊ฒ์ผ๋ก ํ๋จ๋๋ค.
3.2.3 UV-C๋ฅผ 5๋ถ๊ฐ 1ํ ์กฐ์ฌํ ์คํ๊ตฐ์ ์๋ฌผ๋ ๋ณํ
UV-C๋ฅผ 5๋ถ๊ฐ 1ํ ์กฐ์ฌํ ์คํ๊ตฐ์ ์ธํฌ ์ฌ๋ฉธ๋ฅ ์ ์ธก์ ํ ๊ฒฐ๊ณผ UV-C ์กฐ์ฌ ์งํ 77.4%์ ๋์ ์ธํฌ ์ฌ๋ฉธ๋ฅ ์ ๋ํ๋ด์๋ค. ์ธํฌ ์ฌ๋ฉธ๋ฅ ์ ํ์ธํ
๊ฒฐ๊ณผ ์คํ ์ด๊ธฐ์ 1,000,000 cells mL-1์ ์ธํฌ ์ค 874,000 cells mL-1์ ์ธํฌ๊ฐ ์ฌ๋ฉธํ ๊ฒ์ผ๋ก ๋ํ๋ฌ๋ค. ์คํ 2โผ19์ผ ์ฐจ์๋ 90.4โผ99.9%์ ์ธํฌ ์ฌ๋ฉธ๋ฅ ์ ๋ํ๋ด๋ฉฐ ์ฅ๊ธฐ์ ์ธ ์์ฅ ์ต์ ํจ๊ณผ๋ฅผ ๋ํ๋ด์๋ค(Fig. 5, 6).
UV-C ์กฐ์ฌ๋์ด 2๋ถ์์ 5๋ถ์ผ๋ก ์ฆ๊ฐํจ์ ๋ฐ๋ผ ์ธํฌ๊ฐ ์ฌ๋ฉธํ๋ ์๋๊ฐ ๊ฐ์ํ๋์๋ค. ์ด๋ Ross et al. (2006)์ ์ฐ๊ตฌ์์ UV-C ์กฐ์ฌ๋์ด ์ฆ๊ฐํ ์๋ก ์ธํฌ ๋ฌด๊ฒฐ์ฑ์ด ์์ค๋ ์ธํฌ ์์ ์ฆ๊ฐ ๋ฐ ์ธํฌ์์ ์ฌ์ ์ํ ์ธํฌ ์ฌ๋ฉธ์ด ๊ฐ์ํ๋ ๊ฒ๊ณผ ๋์ผํ ์์์ผ๋ก ํ๋จ๋๋ค.
UV-C๋ฅผ 2๋ถ๊ฐ 1ํ ์กฐ์ฌํ์ ๋์๋ 14์ผ ๋์ ์์ฅ ์ต์ ํจ๊ณผ๋ฅผ ๋ํ๋ด์์ผ๋ฉฐ, 5๋ถ๊ฐ 1ํ ์กฐ์ฌํ์ ๋์๋ ์คํ ์ ๊ธฐ๊ฐ์ธ 19์ผ ๋์ ์์ฅ
์ต์ ๋ฅผ ๋ณด์๋ค.
๋ณธ ์ฐ๊ตฌ์์ ์ธํฌ ์ฌ๋ฉธ๋ฅ ๊ณผ ์ฅ๊ธฐ์ ์ธ ์์ฅ ์ต์ ํจ๊ณผ๋ฅผ ์ข
ํฉ์ ์ผ๋ก ๊ณ ๋ คํ ๊ฒฐ๊ณผ, 5๋ถ๊ฐ์ UV-C ์กฐ์ฌ๊ฐ M. aeruginosa์ ๋ํด ๊ฐ์ฅ ๋์ ์ต์ ํจ๊ณผ๋ฅผ ๋ํ๋ด์๋ค. ๊ทธ๋ฌ๋ ์ค์ ๋
น์กฐ ๋ฐ์ ์ด๊ธฐ์ ํ์ฅ ์ ์ฉ์ ๊ณ ๋ คํ ๊ฒฝ์ฐ, ์์ฒด์ ์ฒด๋ฅ ์๊ฐ, ์๋์ง ์๋ชจ, ์์ธ์ ๋จํ์
๊ต์ฒด ์ฃผ๊ธฐ ๋ฑ ์ด์ฉ์์ ์ ์ฝ์ผ๋ก ์ธํด 5๋ถ๊ฐ์ ์ฐ์ ์กฐ์ฌ๋ ์ค์ฉ์ฑ ์ธก๋ฉด์์ ํ๊ณ๊ฐ ์์ ์ ์๋ค. ๋ฐ๋ฉด, 2๋ถ๊ฐ์ UV-C ์กฐ์ฌ๋ ์ง์ ์ ์ธ ์ธํฌ ์ฌ๋ฉธ๋ฅ ๊ณผ
์ฅ๊ธฐ์ ์ธ ์์ฅ ์ต์ ํจ๊ณผ์์๋ 5๋ถ ์กฐ์ฌ์ ๋นํด ๋ค์ ๋ฎ์์ผ๋, ์ธํฌ ์ฌ๋ฉธ๋ฅ ์ ๋ฐ๋ฑ์ด ๊ด์ธก๋ 14์ผ์ ์ฃผ๊ธฐ๋ก ๋ฐ๋ณต ์กฐ์ฌํ ๊ฒฝ์ฐ ํด๋น ํจ๊ณผ๋ฅผ ์ถฉ๋ถํ
๋ณด์ํ ์ ์์ ๊ฒ์ผ๋ก ํ๋จ๋๋ค. ๋ฐ๋ผ์ ๋
น์กฐ ๋ฐ์ ์ด๊ธฐ ๋จ๊ณ์์ ์์ฒด ๋ด์ 2๋ถ๊ฐ UV-C๋ฅผ ์กฐ์ฌํ๊ณ , ์ดํ 2์ฃผ ๊ฐ๊ฒฉ์ผ๋ก ๋ฐ๋ณต ์กฐ์ฌํ๋ ์ ๋ต์
์ ์ฉํ๋ฉด M. aeruginosa์ ๋๋ฐ์์ ํจ๊ณผ์ ์ผ๋ก ์ต์ ํ ์ ์์ ๊ฒ์ผ๋ก ์ฌ๋ฃ๋๋ค.
Fig. 6. Changes in cell density of control and UV-C treated samples over 19 days of
cultivation, with UV-C initially irradiated only once.
4. Conclusion
UV-C๋ฅผ ์ด์ฉํ์ฌ M. aeruginosa์ ์ฌ๋ฉธ ๋ฐ ์์ฅ ์ต์ ํจ๊ณผ๋ฅผ ํ์ธํ๊ณ , ์ธํฌ๋ฐ๋์ ์ธํฌ ์ฌ๋ฉธ๋ฅ ์ ๋ณํ๋ฅผ ๋ถ์ํ ๊ฒฐ๊ณผ ๋ค์๊ณผ ๊ฐ์ ๊ฒฐ๋ก ์ ๋์ถํ์๋ค.
1) UV-C ์กฐ์ฌ๋ M. aeruginosa์ ์ธํฌ ์ฌ๋ฉธ์ ์ ๋ํ๋ ๊ฒ์ผ๋ก ๋ํ๋ฌ์ผ๋ฉฐ, ์กฐ์ฌ ์๊ฐ์ ์ฆ๊ฐ์ ๋ฐ๋ผ ์ธํฌ ์ฌ๋ฉธ๋ฅ ์ด ์ฆ๊ฐํ์๋ค. 3๋ถ, 6๋ถ ๊ตฌ๊ฐ์์ ์ธํฌ ์ฌ๋ฉธ๋ฅ ์ด ๊ธ๊ฒฉํ ์ฆ๊ฐํ์ฌ
๊ฐ๊ฐ 15.7%, 85.5%์ ๋๋ฌํ์์ผ๋ฉฐ, 9๋ถ๊ฐ ์กฐ์ฌํ์์ ๋ 100%์ ์ธํฌ ์ฌ๋ฉธ๋ฅ ์ ๋ํ๋ด์๋ค.
2) UV-C๋ฅผ 2๋ถ๊ฐ 1ํ ์กฐ์ฌํ์ ๋ ์ธํฌ ์ฌ๋ฉธ๋ฅ ์ด 5.8%๋ก ์ฆ๊ฐ์ ์ธ ํจ๊ณผ๋ ๋ฎ์์ง๋ง, 4์ผ ์ฐจ๋ถํฐ ๊ธ๊ฒฉํ ์ธํฌ ์ฌ๋ฉธ๋ฅ (78.7%)์ ์ฆ๊ฐ๋ฅผ
๋ํ๋ด์๋ค. 14์ผ๊น์ง ์์ฅ ์ต์ ํจ๊ณผ๊ฐ ์ง์๋์์ผ๋ ์ดํ ์ผ๋ถ ์ธํฌ์ ํ๋ณต ๋ฐ ์ฆ์์ด ๊ด์ฐฐ๋์๋ค.
3) UV-C๋ฅผ 5๋ถ๊ฐ 1ํ ์กฐ์ฌํ์ ๋ ์คํ 1์ผ ์ฐจ๋ถํฐ ์ฆ๊ฐ์ ์ผ๋ก ๋์ ์ฌ๋ฉธ๋ฅ (77.4%)์ ๋ณด์์ผ๋ฉฐ, ์ด๋ UV-C๋ฅผ 2๋ถ๊ฐ ์กฐ์ฌํ ์คํ๊ตฐ์
์คํ 4์ผ ์ฐจ ๊ฒฐ๊ณผ์ ์ ์ฌํ์๋ค. UV-C๋ฅผ 5๋ถ๊ฐ ์กฐ์ฌํ ์คํ๊ตฐ์ 19์ผ ๋์ 90.4โผ99.9%์ ์ธํฌ ์ฌ๋ฉธ๋ฅ ์ ์ ์งํ์ฌ ์ฅ๊ธฐ์ ์ธ ์์ฅ ์ต์ ํจ๊ณผ๊ฐ
์ง์๋์๋ค.
4) M. aeruginosa์ ์ฅ๊ธฐ์ ์ธ ์์ฅ ์ต์ ์ 5๋ถ๊ฐ์ UV-C 1ํ ์กฐ์ฌ๊ฐ ๊ฐ์ฅ ๋์ ์ธํฌ ์ฌ๋ฉธ๋ฅ ๊ณผ ์์ฅ ์ต์ ํจ๊ณผ๋ฅผ ๋ณด์์ผ๋ ์๋์ง ํจ์จ, ์ฅ๋น ๋
ธํ ๋ฑ ์ค์ฉ์ ์ ํ์ด
์กด์ฌํ๋ค. ์ด์ ๋ฐ๋ผ, 2๋ถ๊ฐ์ UV-C 1ํ ์กฐ์ฌ๋ฅผ 2์ฃผ ๊ฐ๊ฒฉ์ผ๋ก ์คํํ๋ ๊ฒ์ด ์๋์ง ํจ์จ๊ณผ ์ด์ฉ์ฑ ์ธก๋ฉด์์ ์ฅ๊ธฐ์ ์ธ ์์ฅ ์ต์ ์ ํจ๊ณผ์ ์ผ๋ก ํ๋จ๋๋ค.
๊ฒฐ๋ก ์ ์ผ๋ก, 2๋ถ๊ฐ์ UV-C ์กฐ์ฌ์ 2์ฃผ ๊ฐ๊ฒฉ์ ๋ฐ๋ณต ์ ์ฉ์ M. aeruginosa ์ฌ๋ฉธ ๋ฐ ์ฅ๊ธฐ์ ์ธ ์์ฅ ์ต์ ์ ํจ์จ์ ์ธ ๋ฐฉ์์์ ์ ์ํ๋ค. ๋ํ, ํ์ฅ ์ ์ฉ ์ ๋จ์กฐ๋ฅ ๊ตฐ์ฒด๊ฐ ์ธํฌ ๋ด ์๊ณตํฌ์ ์ํด ์ํ๋ฉด์ธต์ ์ง์ ๋๋ ์ํ์
ํน์ฑ์ ๊ณ ๋ คํ ๋, ๋์ฉ๋ ์์ฒ๋ฆฌ(bulk treatment) ๋ฐฉ์ ๋์ ์กฐ๋ฅ์ ๊ฑฐ์ ๋๋ โ์์ฝ๋ดโ๊ณผ ๊ฐ์ ์์ง ์ ํ ๋ก๋ด์ UV-C ๋ชจ๋์ ํ์ฌํ์ฌ
ํ์ธต์ ์ ํ์ ์ผ๋ก ์กฐ์ฌํ๋ ๋ฐฉ๋ฒ์ ํตํด ํจ์จ์ฑ์ ๋์ด๋ฉฐ ๋นํ์ ์๋ฌผ์ ๋ํ ์ํฅ์ ์ต์ํํ ์ ์์ ๊ฒ์ผ๋ก ์๊ฐ๋๋ค. ๊ทธ๋ฌ๋, ์คํ์ค ์กฐ๊ฑด๊ณผ ๋ฌ๋ฆฌ
์ค์ ํ์ฅ ์ ์ฉ์๋ ์๋์ง ํจ์จ, ์ํ๊ณ์ ๋ฏธ์น๋ ์ ์ฌ์ ์ํฅ, ์์ฒด์ ์ ๋์ฑ ๋ฑ์ ์์์ ๊ดํ ์ถ๊ฐ ์ฐ๊ตฌ๊ฐ ์๊ตฌ๋๋ค.
Acknowledgement
๋ณธ ์ฐ๊ตฌ๋ ๊ณผํ๊ธฐ์ ์ ๋ณดํต์ ๋ถ(MSIT)์ ์ฌ์์ผ๋ก ํ๊ตญ์ฐ๊ตฌ์ฌ๋จ(NRF)์ ์ฐ๊ตฌ๋น ์ง์์ ๋ฐ์ ์ํ๋์์ต๋๋ค (๊ณผ์ ๋ฒํธ: RS-2023-00250830).
References
Ahn C. Y., Kim H. S., Yoon B. D., Oh H. M., 2003, Influence of rainfall on cyanobacterial
bloom in Daechung Reservoir, Korean Journal of Ecology and Environment, Vol. 36, No.
4, pp. 413-419

Alam M. Z. B., Otaki M., Furumai H., Ohgaki S., 2001, Direct and indirect inactivation
of M. aeruginosa by UV-C-radiation, Water Research, Vol. 35, No. 4, pp. 1008-1014

Ameisen J. C., 2002, On the origin, evolution, and nature of programmed cell death:
a timeline of four billion years, Cell Death & Differentiation, Vol. 9, No. 4, pp.
367-393

Bidle K. D., Falkowski P. G., 2004, Cell death in planktonic, photosynthetic microorganisms,
Nature Reviews Microbiology, Vol. 2, No. 8, pp. 643-655

Calomeni A. J., Rodgers J. H., 2015, Evaluation of the utility of six measures for
algal (M. aeruginosa, Planktothrix agardhii and Pseudokirchneriella subcapitata) viability,
Ecotoxicology and Environmental Safety, Vol. 111, pp. 192-198

Choi B. G., Kim J. S., Seong H. S., Lee J. Y., Park C. M., 2024, Algicidal Activity
of Herbicides with Various Modes of Action against Microcystis aeruginosa, Weed &
Turfgrass Science, Vol. 13, No. 1, pp. 15-30

Codd G. A., Morrison L. F., Metcalf J. S., 2005, Cyanobacterial toxins: risk management
for health protection, Toxicology and applied pharmacology, Vol. 203, No. 3, pp. 264-272

de Gruijl F., Leun J., 2000, Environment and health: 3. Ozone depletion and ultraviolet
radiation, CMAJ, Vol. 163, No. 7, pp. 851-855

Falconer I. R., 2001, Toxic cyanobacterial bloom problems in Australian waters: risks
and impacts on human health, Phycologia, Vol. 40, No. 3, pp. 228-233

Franke J. D., Braverman A. L., Cunningham A. M., Eberhard E. E., Perry G. A., 2020,
Erythrosin B: a versatile colorimetric and fluorescent vital dye for bacteria, BioTechniques,
Vol. 68, No. 1, pp. 7-13

Graham L. E., Graham J. M., Wilcox L. W., 2009, Algae

Hargesheimer E. E., Watson S. B., 1996, Drinking water treatment options for taste
and odor control, Water Research, Vol. 30, No. 6, pp. 1423-1430

He J., Ou H., Chen J., Liu J., Lu D., 2016, Intrinsic mechanism of UV-C-induced inactivation
of M. aeruginosa: Impairment on photosynthetic system, Water, Air, & Soil Pollution,
Vol. 227, pp. 1-14

Holzinger A., Lรผtz C., 2006, Algae and UV-C irradiation: effects on ultrastructure
and related metabolic functions, Micron, Vol. 37, No. 3, pp. 190-207

Jochimsen E. M., Carmichael W. W., An J., Cardo D. M., Cookson S. T., Holmes C. E.,
Jarvis W. R., 1998, Liver failure and death after exposure to microcystins at a hemodialysis
center in Brazil, New England Journal of Medicine, Vol. 338, No. 13, pp. 873-878

Kang Y. H., Kim J. D., Kim B. H., Kong D. S., Han M. S., 2005, Isolation and characterization
of a bioโagent antagonistic to diatom, Stephanodiscus hantzschii, Journal of Applied
Microbiology, Vol. 98, No. 5, pp. 1030-1038

Keyser M., Mลฑller I. A., Cilliers F. P., Nel W., Gouws P. A., 2008, Ultraviolet radiation
as a non-thermal treatment for the inactivation of microorganisms in fruit juice,
Innovative Food Science & Rmerging Technologies, Vol. 9, No. 3, pp. 348-354

Lรผtz C., Seidlitz H. K., Meindl U., 1997, Physiological and structural changes in
the chloroplast of the green alga Micrasterias denticulata induced by UV-B simulation,
Plant Ecology, Vol. 128, pp. 55-64

Mamane-Gravetz H., Linden K. G., 2004, UV disinfection of indigenous aerobic spores:
implications for UV reactor validation in unfiltered waters, Water Research, Vol.
38, No. 12, pp. 2898-2906

Nagayama K., Shibata T., Fujimoto K., Honjo T., Nakamura T., 2003, Algicidal effect
of phlorotannins from the brown alga Ecklonia kurome on red tide microalgae, Aquaculture,
Vol. 218, No. 1-4, pp. 601-611

Oppenheimer J. A., Jacangelo J. G., Laรฎnรฉ J. M., Hoagland J. E., 1997, Testing the
equivalency of ultraviolet light and chlorine for disinfection of wastewater to reclamation
standards, Water Environment Research, Vol. 69, No. 1, pp. 14-24

Ou H., Gao N., Deng Y., Qiao J., Wang H., 2012, Immediate and long-term impacts of
UV-C irradiation on photosynthetic capacity, survival and microcystin-LR release risk
of Microcystis aeruginosa, Water Research, Vol. 46, No. 4, pp. 1241-1250

Ou H., Gao N., Deng Y., Wang H., Zhang H., 2011, Inactivation and degradation of Microcystis
aeruginosa by UV-C irradiation, Chemosphere, Vol. 85, No. 7, pp. 1192-1198

Park J. G., 2012, Algal flora of Korea, Volume 5, Number 1: Freshwater algae โ Cyanobacteria
(Chroococcales, Oscillatoriales), National Institute of Biological Resources, pp.
25-26

Pilotto L. S., Douglas R. M., Burch M. D., Cameron S., Beers M., Rouch G. J., Robinson
P., Kirk M., Cowie C. T., Hardiman S., Moore C., Attewell R. G., 1997, Health effects
of exposure to cyanobacteria (blue-green algae) during recreational water-related
activities, Australian and New Zealand Journal of Public Health, Vol. 21, No. 6, pp.
562-566

Ross C., Santiago-Vรกzquez L., Paul V., 2006, Toxin release in response to oxidative
stress and programmed cell death in the cyanobacterium Microcystis aeruginosa, Aquatic
toxicology, Vol. 78, No. 1, pp. 66-73

Sakai H., Oguma K., Katayama H., Ohgaki S., 2005, Low-or medium-pressure UV lamp inactivation
of Microcystis aeruginosa, Journal of Water and Environment Technology, Vol. 3, No.
1, pp. 55-61

Sakai H., Oguma K., Katayama H., Ohgaki S., 2007, Effects of low-or medium-pressure
ultraviolet lamp irradiation on M. aeruginosa and Anabaena variabilis, Water Research,
Vol. 41, No. 1, pp. 11-18

Sugiura N., Iwami N., Inamori Y., Nishimura O., Sudo R., 1998, Significance of attached
cyanobacteria relevant to the occurrence of musty odor in Lake Kasumigaura, Water
Research, Vol. 32, No. 12, pp. 3549-3554

Takaara T., Sano D., Masago Y., Omura T., 2010, Surface-retained organic matter of
Microcystis aeruginosa inhibiting coagulation with polyaluminum chloride in drinking
water treatment, Water Research, Vol. 44, No. 13, pp. 3781-3786

Tao Y., Mao X., Hu J., Mok H. O. L., Wang L., Au D. W. T., Zhu J., Zhang X., 2013,
Mechanisms of photosynthetic inactivation on growth suppression of Microcystis aeruginosa
under UV-C stress, Chemosphere, Vol. 93, No. 4, pp. 637-644

Tekiner M., Ak ฤฐ., Kurt M., 2019, Impact of UV-C radiation on growth of micro and
macro algae in irrigation systems, Science of The Total Environment, Vol. 672, pp.
81-87

Yang B., Park J. A., Nam H. L., Jung S. M., Choi J. W., Park H. D., Lee S. H., 2017,
Degradation of Microcystin-LR, taste and odor, and natural organic matter by UV-LED
based advanced oxidation processes in synthetic and natural water source, Journal
of Korean Society of Environmental Engineers, Vol. 39, No. 5, pp. 246-254

Zheng J., Teng F., Zhou T., Cao H., Wang X., Zhu Y., Tao Y., 2024, Enhanced suppression
effects on Microcystis aeruginosa by combining hydrogen peroxide and intermittent
UVC irradiation: the importance of triggering advanced oxidation process within cells,
Journal of Hazardous Materials, Vol. 463, pp. 132826
