The Journal of
the Korean Society on Water Environment

The Journal of
the Korean Society on Water Environment

Bimonthly
  • ISSN : 2289-0971 (Print)
  • ISSN : 2289-098X (Online)
  • KCI Accredited Journal

Editorial Office





Antioxidant, Biomarker, Fish, Histology, Sewage

1. Introduction

Effluents from sewage treatment plants (STPs) are highly complex and release high levels of pollutants into the aquatic environment (Woodworth et al., 1999), including polycyclic aromatic hydrocarbons, solvents, heavy metals, pharmaceuticals, and flame retardants (Halling-Sorensen et al., 1998; Paxeus, 1996). STPs usually process a vast amount of chemicals from households, industries, and hospitals, and, due to insufficient biodegradation, the effluents consist of a complex mixture of compounds (Paxeus 1996; Paxeus and Schroder 1996). Several studies conducted on the effects of STP effluents have revealed that they exert physiological effects (Hoeger et al., 2004; Sepulveda et al., 2004; Svenson et al., 2002), generate immune responses (Larsson et al., 1999; Oakes et al., 2004), cause oxidative stress, and exert estrogenic effects (Burkhardt-Holm et al., 1999; Ma et al., 2005; Oakes et al., 2004; Sole et al., 2002) in fish caged/caught from contaminated water bodies. In this context, the use of sentinel organisms for environmental quality monitoring provides a sensitive and reliable approach to estimate the potential effects of pollutants (Farrington and Tripp, 1995). Among them, fish are recognized as an excellent experimental model for use in toxicological studies as they are at the top of the aquatic food chain and respond strongly to stress conditions (van der Oost et al., 2003).

Biochemical variables, such as antioxidant defense enzymes, have recently been used as indicators of water quality to detect the sublethal effects of pollutants. In particular, several studies have demonstrated that biomarkers of oxidative stress can provide satisfactory information on the response of fish to environmental stressors (Farombi et al., 2007; Miller et al., 2007; Monterio et al., 2007; Pavlović et al., 2010). Oxidative stress results from an imbalance between the formation of reactive oxygen species (ROS) and the activity of the cellular antioxidant defense system, leading to oxidative damage of cellular molecules (Kohen and Nyska, 2002). ROS are generally produced during metabolism, and are advantageous under natural conditions (Dröge, 2002), although they can also cause molecular damage. Exposure to anthropogenic compounds can also increase the production of ROS within the cell. This occurs via the malfunction of a series of enzymes in the cytochrome P450 system, and through the redox cycling of various xenobiotics (Di Giulio et al., 1995). Therefore, sensitive and reliable biomarkers should be used to determine significant contaminant exposure that has exceeded detoxification or compensatory mechanisms and/or has resulted in adverse effects on physiological and biochemical functions (Vijayavel et al., 2004). Biochemical biomarkers represent early diagnostic tools, since they can identify changes at a sub-organismal level (i.e., cellular and molecular, etc.) before becoming evident at higher levels of biological organization (Doherty et al., 2010). Similarly, histopathological changes have been widely used as biomarkers to evaluate the health of fish exposed to contaminants, both in the laboratory (Thophon et al., 2003; Wester and Canton, 1991) and in field studies (Hinton et al., 1992; Schwaiger et al., 1997; Teh et al., 1997) due to target organ toxicity. Furthermore, alterations in organs are normally easier to identify than alterations in function (Fanta et al., 2003), and serve as warning signs of potential damage to animal health (Hinton and Lauren, 1990). Therefore, antioxidant defense and histopathology have been accessed in fish in the field and in laboratory studies (Hinton et al., 1992; Regoli et al., 2002; Schwaiger et al., 1997; Teh et al., 1997; Valavanidis et al., 2006; van der Oost et al., 2003).

Although the oxidative stress parameters are used in field toxicology studies with respect to antioxidant defenses (Regoli et al., 2002; Valavanidis et al., 2006; van der Oost et al., 2003), there are large gaps in knowledge on how these complex mixtures of chemicals affect oxidative stress in aquatic organisms. In addition, limited knowledge is available on histopathological responses in fish to effluents from STPs. Therefore, the aim of the present study was to gain a better understanding of the impacts of STP effluents on freshwater crucian carp Carassius auratus from a contaminated stream by integrating measurements of oxidative damage with histopathology. The crucian carp was selected for use in this study due to a scarcity of information and its position as a dominant species in the stream.

2. Materials and Methods

2.1. Fish Sampling

Fish sampling was conducted in June-July 2015 at three selected sites in the Eungcheon stream located in Geumwangeup, Chungcheongbuk-do, Korea. The Geumwang STP treats about 6000 m3/day of sewage and directly discharges effluent into this stream. Fish, (crucian carp Carassius auratus) were collected from the mixing zone (N 37' 00' 16.58" E 127' 35' 40.82") where sewage effluent enters and mixes with the stream, and from two other locations along the stream approximately 150 m upstream (N 37' 00' 12.06" E 127' 35' 40.77") and 800 m downstream (N 37' 00' 44.27" E 127' 35' 46.43") of the effluent discharge point.

Fish samples were collected from various habitats, including riffle, run, and pool at sampling sites using a casting net (5 × 5-mm mesh, 15 times per site) and a skimming net (4 × 4-mm mesh, 40 min per site). Following collection, 10 individual fish (> 4 cm in total length) were randomly selected irrespective of sex from each sampling site, which were then transferred to the laboratory within 2 h. Fish care and handling were performed following the guideline of the Institutional Animal Care and Use Committee of Korea University. For histopathological examination, the gills, liver, and kidney were removed, taking care to keep the tissue as intact as possible, and then fixed with 10% neutral formalin solution in the field. For biochemical analyses, fish were brought to the laboratory alive, and the organs were dissected out and immediately frozen and stored at -80℃.

2.2. Water Sampling and Chemical Analyses

Water samples were collected at the same sites where fish sampling was conducted, transported in polyethylene containers on ice to the laboratory, and then stored at 4℃ throughout the entire study period. Dissolved oxygen (DO) concentration, water temperature, pH, and electrical conductivity (EC) of the samples were measured using a multi-parameter water quality meter (YSI- 556, Yellow Springs Instruments, OH, USA) in the field.

Water quality parameters and hazardous water pollutants under regulation for effluent limits in Korea were analyzed according to the Standard Methods for Examination of Water Quality, Ministry of Environment, Korea (MOE, 2014). The water quality parameters measured were suspended solid (SS), biochemical oxygen demand (BOD), chemical oxygen demand (COD), total nitrogen (TN), and total phosphorus (TP). The water pollutants determined were: Cu, Pb, As, Hg, Cr(VI), Cd, Ni, Zn, Se, cyanide, trichloroethylene (TCE), perchloroethylene (PCE), phenols, benzene, 1,2-dichloroethane, chloroform, organophosphorus compound, carbon tetrachloride, di(2-ethylhexyl) phthalate (DEHP), 1,1-dichloroethylene, 1,4-dioxane, vinyl chloride, and acrylonitrile.

2.3. Oxidative Stress Analyses

Catalase (CAT) activity was measured based on the methods described by Aebi (1974). Briefly, tissue samples were homogenized in a mortar-driven Teflon homogenizer with 50 mM phosphate buffer (pH 7.8). The homogenates were then centrifuged at 4500 rpm for 10 min at 4℃ and the supernatants were taken for further analysis. CAT activity was measured based on the decrease in absorbance at 240 nm due to H2O2 consumption (εmM = 0.0436). The reaction volume contained 20 μL of the supernatant, 1.98 mL of 50 mM phosphate buffer (pH 7.0), and 1 mL of 30 mM H2O2.

Glutathione S-transferases (GST) activity was measured as described by Habig et al. (1974). Briefly, tissue samples were homogenized with 20 mM phosphate buffer (pH 6.5) using a mortar-driven Teflon homogenizer. The homogenates were then centrifuged at 10,000 rpm for 10 min at 4℃ and the supernatants were used for further analysis. GST activity toward 1-chloro-2,4-dinitrobenzene (CDNB) was determined spectrophotometrically at 340 nm (εmM = 9.6). The reaction volume consisted of 50 μL of the supernatant, 2.5 mL 20 mM phosphate buffer (pH 6.5), 0.3 mL reduced glutathione (10 mM), and 0.15 mL CDNB solution (1.5 mM).

Lipid peroxidation (LPO) was analyzed according to the method described by Barata et al. (2005) using a malondialdehyde (MDA) kit (NWK-MDA01, Northwest Life Science Specialties, Vancouver, WA, USA). Briefly, tissue samples were homogenized in a mortar-driven Teflon homogenizer with 1.15% KCl at pH 7.4 (100 mM phosphate buffer). The homogenates were then centrifuged at 4500 rpm for 10 min at 4℃. The LPO level was evaluated by measuring the production of MDA reacting with thiobarbituric acid at 60℃ for 1 h using a microplate spectrophotometer at 532 nm (BioTek Inc., Winooski, VT, USA) according to manufacturer’s instruction. The protein content of all tissue samples was determined spectrophotometrically based on Lowry et al. (1951) using bovine serum albumin (Bio-Rad Laboratories., Hercules, CA, USA) as a standard, and enzyme activity was recorded in units per mg protein (U mg-1).

2.4. Histological Analyses

Histological examinations were performed as described by Ghosh, (1991). Formalin-fixed organs were dehydrated in a graded series of ethanol solutions (70, 90, and 95%). After being embedded in paraffin at 58-60℃, the tissue specimens were sliced using a microtome (SLEE MAINZ, CUT 5062, Germany), subsequently stained with hematoxylin and eosin (H&E), and examined using an optical light microscope (Fluorescence Upright Microscope, Axio Imager M1, Carl-Zeiss, Germany).

Histological alterations in each organ were evaluated semi-quantitatively using two criteria, mean assessment value (MAV) and degree of tissue changes (DTC), in six randomly selected sections per tissue. MAV was estimated based on the methods described by Schwaiger et al. (1997). Alterations were evaluated based on symptoms in the respective tissues as presented in Table 1. To calculate MAV, a numerical value was given for each pathological alterations: 1 = no pathological alteration; 2 = focal changes (i.e., very low to moderate alterations) and 3 = extended pathological alterations (i.e., highest alterations). Based on these classifications, MAV was calculated for each tissue for each fish and an overall MAV was obtained for each sampling site.

Table 1.

Histopathological alterations in the gills, liver, and kidneys of Carassius auratus collected at upstream, mixing, and downstream sites of the Eungcheon stream. Tissue damage was classified as stage I (less damage to the tissues, recovery is still possible), stage II (severe damage to the tissues, normal functions are affected), and stage III (extremely severe, irreparable damage)

../../Resources/kswe/32-5/images/SJBJB8_2016_v32n5_419_t001.jpg

DTC was estimated based on the severity of lesions and their possibility of recovery as reported by Poleksić and Mitrović-Tutundžić (1994). Tissue lesions were classified into three progressive stages as shown in Table 1: stage I = less damage to the tissues such that recovery is still possible; stage II = severe damage to the tissues such that normal functions are affected, and stage III = extremely severe damage, causing irreparable effects. DTC was calculated by summing up the number of lesions within each of three stages multiplied by stage index, using the following mathematical equation proposed by Poleksić and Mitrović-Tutundžić (1994):

../../Resources/kswe/32-5/images/SJBJB8_2016_v32n5_419_e001.jpg

where I, II, and III are the number of stage I, II, and III lesions, respectively. The DTC value obtained for each sampling site was used to categorize overall tissue damage based on the following five classifications: A (0-10) = normal tissue function; B (11-20) = slight damage; C (21-50) = moderate damage; D (51-100) = severe damage and E (>100) = extremely severe and irreversible.

2.5. Statistical Analysis

One-way analysis of variance (ANOVA) was conducted in SPSS program (version 18.0) to analyze biochemical and histopathological changes among different sampling sites with the least significant difference (LSD) test at the p < 0.05 level.

3. Results and Discussion

3.1. Physicochemical Quality of Stream Water

Stream water quality is essential as it plays an important role in regulating different metabolic and physiological processes. The physicochemical properties of stream water were determined at each sampling site, namely the mixing zone, and upstream and downstream sites in the Eungcheon stream, and are presented in Table 2. In the present study, none of the water samples contained DO below 4 mg/L, which is considered critical for fish (Esteves, 1988). Each site had an EC value above 100 μS/cm, which was higher in the mixing zone and downstream site than in the upstream site, indicating impaired water quality (Olsen et al., 2001). In addition, increased loading of particles (SS), organic contaminants (BOD and COD), and nutrients (TN and TP) was detected at the mixing zone and downstream site, indicating the influence of effluent discharge from the Geumwang STP. In general, levels of both organic and inorganic contaminants are increased in the mixing zone due to effluent discharge (Jingsheng et al., 2006; Kim et al., 2014), and gradually decrease downstream through self-purification processes without other disturbances (Giller and Malmqvist, 2006; Hyens, 1960). However, the downstream site in this study showed higher values of EC, SS, BOD, and TP than the mixing zone in the most measured variables, probably due to the influence of sewage discharge from houses located near the stream channel. Overall, the water quality of the study sites was impaired by the influence of effluent discharge.

Table 2.

Physicochemical properties of water samples collected at upstream, mixing, and downstream sites of the Eungcheon stream

../../Resources/kswe/32-5/images/SJBJB8_2016_v32n5_419_t002.jpg

* Detection limit; ** Not detected

Chemical analysis of 23 hazardous water pollutants indicated that only Cu and Zn are present in the Eungcheon stream at levels above the limits of detection (Table 2). Considering that concentrations of Cu and Zn in rivers and streams of Korea (total 113 locations) from 2004 to 2005 were 1.24-46.84 μg/L (mean 12.14 μg/L) and 2.08-293.78 μg/L (mean 52.88 μg/L), respectively, the upstream site was not likely to be contaminated by Cu and Zn (MOE, 2006). However, the concentrations of Cu and Zn (2.5 and 20.0 μg/L, respectively) were substantially higher in the mixing zone than in the upstream site. Yoo et al. (2013) demonstrated that concentrations of Cu and Zn (1.2-21 and 1.53-1668 μg/L, respectively) in Hantan River, Korea were elevated due to it receiving wastewater effluents. Song et al. (2010) also reported that heavy metals were enriched in the Chang Jiang River of China following an increase in the concentration of SS, possibly due to wastewater or soil erosion. Higher concentration of Zn found at the mixing zone may interfere with the structural integrity of fish as well as membrane bound enzyme activity when Zn accumulates in fish beyond threshold optimum concentrations (Tuurala and Soivio, 1982). Likewise, Cu only found at the mixing zone may cause structural damage to fish (Patel and Bahadur, 2010).

3.2. Oxidative Stress in C. auratus

Activities of antioxidant enzymes (CAT and GST) and lipid peroxidation (LPO) in the gills, liver, and kidney of the freshwater crucian carp, C. auratus were analyzed to identify changes in oxidative stress. CAT activity in C. auratus collected from the mixing zone and downstream site of the Eungcheon stream was notably higher than that in samples from the upstream site (Fig. 1(a)). CAT plays a critical role in scavenging H2O2, which is a by-product produced by the dismutation of superoxide anion radicals (O2-.) by oxidative stress (Martinez-Alvarez et al., 2005). Enhanced CAT activity is usually observed in the presence of environmental pollutants (Dautremepuits et al., 2004) since CAT in combination with superoxide dismutase represents the first line of defense against oxidative stress (Bebianno et al., 2004). Therefore, elevated levels of CAT, as observed in the present study, reflect a reinforced antioxidant response generated by sewage effluent. Yildirin et al. (2011) reported that stressful conditions might lead to the formation of excessive free radicals, which are considered a major internal threat to cellular homeostasis in aerobic organisms.

Fig. 1.

Levels of (a) catalase (CAT), (b) glutathione S-transferases (GST), and (c) lipid peroxidation (LPO) in the gills, liver, and kidneys of Carassius auratus collected at upstream, mixing, and downstream sites of the Eungcheon stream. Data represent mean ± standard deviation (n = 6). Different letters above the columns indicate significant differences (p < 0.05) between sites.

../../Resources/kswe/32-5/images/SJBJB8_2016_v32n5_419_f001.jpg

GST activity in the gills of C. auratus collected from the mixing zone and downstream site of the Eungcheon stream was significantly increased (p < 0.05) compared to that in gills of fish collected from the upstream site (Fig. 1(b)). In the liver, GST activity was also significantly higher in fish from the mixing zone than in those from the upstream site, but significantly decreased activity was observed in fish from the downstream site (p < 0.05). However, significantly decreased GST activity was found in the kidney of fish from both the mixing zone and the downstream site (p < 0.05). GST plays a key role in the biotransformation of xenobiotics and can stimulate electrophile metabolites and glutathione (GSH) to improve their hydrophobicity and subsequent excretion. Additionally, GST can inhibit lipid peroxidation, directly inactivates ROS via SH groups, and indirectly induces DNA repair (Choi et al., 2008). Enhanced levels of GST in the gills and liver suggest an adaptive and protective role of this biomolecule against oxidative stress induced by sewage effluents. These results are consistent with the findings of Di Giulio et al. (1993), who reported higher levels of GST in catfish exposed to polluted waters than in the control, and with those of Pandey et al. (2003), who observed increased GST activity in Wallago attu fish collected from the Panipal River in India. A decline in GST level in the kidney of C. auratus may occur because GSH is a substrate, and was largely consumed. In addition, many intermediate metabolites produced during detoxification could reduce GST activity or competitively inhibit GST substrates (Egaas et al., 1999). Similar results were also reported by Mather-Mihaich and Di Giulio (1986), who observed a decrease in GSH levels in channel catfish exposed to bleached kraft mill effluent. Therefore, decreased GST levels in fish from the mixing zone and the downstream site suggest that the ability to protect against toxicants was reduced due to increased utilization of GSH, which can be converted into oxidized glutathione, and inefficient GSH regeneration.

As shown in Fig. 1(c), the LPO level in the gills and kidney was significantly lower in fish from the mixing zone and the downstream site than in those from the upstream site (p < 0.05). However, the LPO level in the liver was significantly higher in fish from the mixing zone than in those from the upstream site, but was lower in fish from the downstream site (p < 0.05). Oxidative stress may affect biomolecules such as proteins, lipids, and DNA when antioxidant defenses are impaired or overcome (Doherty et al., 2010; Farombi et al., 2007; Pavlović et al. 2010). Increased levels of LPO may be related to poor water quality, and the level directly reflects the degree of oxidative damage (Charissou et al., 2004). Significantly reduced levels of LPO in the gills and kidney samples from the mixing zone and downstream site compared to those from the upstream site indicate lower susceptibility of lipid molecules to ROS and the extent of oxidative damage. Conversely, higher levels of LPO in the livers of fish from the mixing zone than in those from the upstream site could be attributed to the high antioxidant (CAT and GST) activity recorded in this study (Fig. 1(a) and 1(b)). Atli et al. (2006) reported that livers have a higher metabolic activity than other organs, suggesting that the liver is more sensitive to toxic pollutants. In addition, the antioxidant defense system preferentially develops in the liver due to its central role in detoxifying environmental pollutants and metabolic products (Li et al., 2010).

3.3. Histopathological Alterations in C. auratus

Details of histopathological alterations in the gills, liver and kidney of C. auratus from the upstream site, mixing zone, and downstream site are shown in Figs. 2, 3, and 4, respectively. Fish gills are the main respiratory organ for gaseous exchange, osmoregulation, excretion of nitrogenous waste products, and acid-base regulation. Due to their direct contact with the external environment, particularly with water, gills are considered to be the primary target of contaminants (Fernandes and Mazon, 2003; Poleksić and Mitrović-Tutundžić, 1994). Hyperplasia and hypertrophy of the gill epithelium, epithelial lifting of lamellae, and lamellar disorganization were common characteristics of fish gills collected from the upstream site (Fig. 2 and Table 1). However, blood congestion, dilation of the marginal channel, lamellar fusion, rupture of chloride cells, and rupture of the lamellar epithelium, along with aforementioned lesions, were prominent pathological characteristics in gills collected from the mixing zone and downstream site. As indicated in Fig. 5, values of MAV and DTC were significantly higher in gills from fish collected in the mixing zone and downstream site than those collected from the upstream site (p < 0.05). Estimated MAV for samples from the upstream site was 1.17 ± 0.12 indicating very few alterations, while it was 1.82 ± 0.20 and 1.33 ± 0.08 for samples from the mixing zone and downstream site, respectively, demonstrating low to moderate alterations with some high alterations in tissues. Conversely, the DTC for samples from the upstream site was 1.67 ± 1.21, while for samples from the mixing zone and downstream site, the DTC was 9.67 ± 6.65 and 4.00 ± 3.95, respectively. The DTC value in samples from all sites was below 10, indicating normal tissue function (class A) predominantly with stage I changes.

Fig. 2.

Histological micrograph of the gill of Carassius auratus collected from the Eungcheon stream at (a) an upstream site, showing fusion of secondary gill lamellae (SGL) (black arrow) and hypertrophy (broken arrow); (b) the mixing zone, showing curling of SGL (square), fusion (black arrow) and damage of chloride cells (white arrow); (c) the mixing zone, showing fusion of secondary gill lamellae (SGL) (black arrow), curling (square) and hypertrophy (broken arrow); and (d) a downstream site, showing fusion of secondary gill lamellae (SGL) (black arrow), curling (square) and damage of chloride cells (white arrow).

../../Resources/kswe/32-5/images/SJBJB8_2016_v32n5_419_f002.jpg
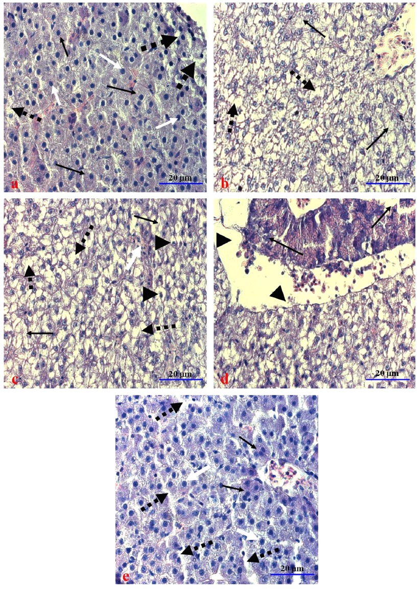
Fig. 3.

Histological micrograph of the liver of Carassius auratus collected from the Eungcheon stream at (a) an upstream site, showing hepatocytes (black arrow) containing nuclei (white arrow) and reduced vacuolation (broken arrow); (b) the mixing zone, showing degenerating hepatic cells (black arrow) and vacuolation (broken arrow); (c) the mixing zone, showing degenerating hepatocytes (black arrow) with fribrillar inclusion in their cytoplasm (white arrow), pyknotic nuclei (arrow head) and cytoplasmic vacuolation (broken arrow); (d) the mixing zone, showing hepatocytes detaching from the pancreas (P) (arrow head) and damage of pancreas (black arrow); and (e) a downstream site, showing hypertrophic hepatocytes (white arrow), clumping of hepatocytes (black arrow) and less vacuolation (broken arrow).

../../Resources/kswe/32-5/images/SJBJB8_2016_v32n5_419_f003.jpg
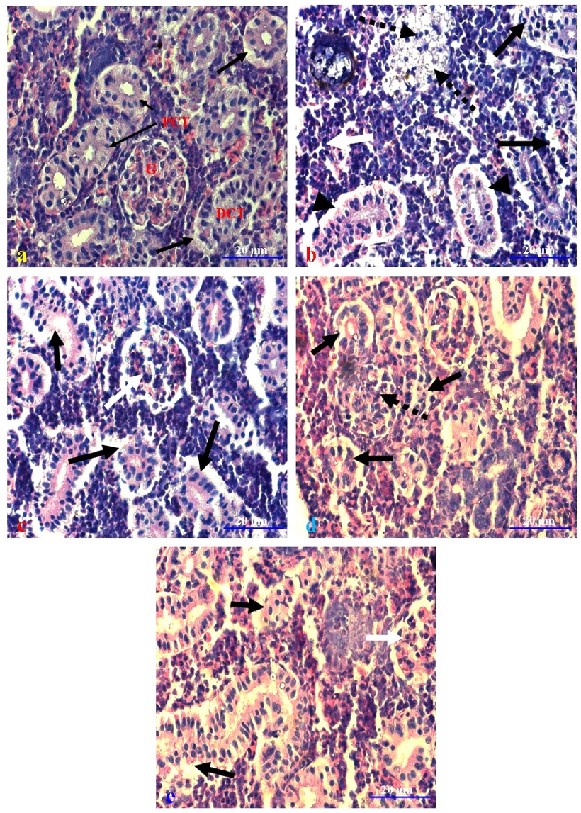
Fig. 4.

Histological micrograph of kidneys of Carassius auratus collected from the Eungcheon stream at (a) an upstream site, showing proximal convoluted tubules (PCT) and distal convoluted tubules (DCT), glomerulus (G), and some tubular damage (black arrow); (b) the mixing zone, showing a degenerative kidney tubule (broken arrow) with fragmented glomerulus (white arrow), narrowing of tubules (arrow head) and damage of tubules (black arrow); (c) the mixing zone, showing tubular damage (black arrow) and shrinkage of glomerulus (white arrow); (d) a downstream site, showing tubular damage (black arrow) and proliferated glomerulus (broken arrow); and (e) a downstream site, showing shrinkage of glomerulus (white arrow) and damage of tubules (black arrow).

../../Resources/kswe/32-5/images/SJBJB8_2016_v32n5_419_f004.jpg
Fig. 5.

(a) Mean assessment value (MAV) and (b) degree of tissue changes (DTC) in the gills, liver, and kidneys of C. auratus collected at upstream, mixing, and downstream sites of the Eungcheon stream. Data represent mean ± standard deviation (n = 6). Different letters above the columns indicate significant differences (p < 0.05) between sites.

../../Resources/kswe/32-5/images/SJBJB8_2016_v32n5_419_f005.jpg

Coutinho and Gokhale (2000) observed similar findings, namely hyperplasia and hypertrophy of the gill epithelium, epithelial lifting of lamellae, and lamellar disorganization in the gills of carps (Cyprinus carpio) and tilapias (Oreochromis mossambicus) exposed to wastewater treatment plant effluents. In addition, Winkaler et al. (2001) reported hyperplasia, hypertrophy, dilation of the marginal channel, and aneurysms in Neotropical fish, Astyanax altiparanae collected from the Cambe stream, and demonstrated that contamination of the stream was responsible for structural damage to the fish gill. Epithelial lifting, lamellar disorganization, and lamellar fusion, as observed in the present investigation, are examples of defense mechanisms, which permit the entry of pollutants by increasing the distance between the external environment and the blood. As a consequence of the increased distance between the water and blood, oxygen uptake can be impaired. However, fish have the capacity to increase their ventilation rate to compensate for low oxygen uptake (Fernandes and Mazon, 2003). A high incidence of dilation of the marginal channel is usually caused by the rupture of pillar cells (Rosety-Rodriguez et al., 2002). This simultaneously leads to blood congestion and sometimes the formation of an aneurysm due to increased blood flow because of the direct effects of effluents (Poleksić and Mitrović-Tutundžić, 1994).

The liver is a primary metabolic organ, which plays an important role in detoxification and subsequent elimination of harmful substances (van der Oost et al., 2003). The normal liver is characterized by a prevalence of regular-shaped hepatocytes surrounding bile ducts and pancreatic cells. Livers collected from fish from the upstream site exhibited very few morphological changes, including nuclear hypertrophy, cellular hypertrophy, and cytoplasmic vacuolation (Fig. 3 and Table 1). Conversely, fish collected from the mixing zone and downstream site showed various pathological alterations, such as irregular shaped cells, irregular shaped nuclei, nuclear hypertrophy, cellular hypertrophy, cytoplasmic degeneration, nuclear degeneration, cellular rupture, pyknotic nuclei, and bile stagnation, and the extent of the alterations were higher in samples from the mixing zone compared to those from the downstream site. As shown in Fig. 5, the observed MAV in liver was significantly higher in fish collected from the mixing zone (1.95 ± 0.17) and downstream site (1.56 ± 0.07) compared to those collected from the upstream site (1.18 ± 0.08) (p < 0.05). Higher MAV values in samples from the mixing zone and downstream site indicate predominately low to moderate alterations, with some high alterations in the investigated tissue. DTC was significantly higher in samples from the mixing zone and downstream site than in those from the upstream site (p < 0.05). For samples from the upstream site, DTC was 2.83 ± 1.33, indicating normal tissue function (class A) with mainly stage I changes. The results for DTC in samples from the mixing zone and downstream site were 42.17 ± 5.60 and 28.33 ± 5.24, respectively, indicating moderate to severe tissue damage (class C) with predominantly stage II lesions as well as stage I changes.

Common pathological lesions including nuclear hypertrophy, cellular hypertrophy, and cytoplasmic vacuolation, as observed in the present study, were also reported by Figueiredo-Fernandes et al. (2007) in Oreochromis niloticus and by Mario et al. (2011) in the liver of both Carassius auratus and Dicentrarchus labrax. Vacuolization, as observed in hepatocytes, indicates an imbalance between the rate of substrate synthesis in the parenchymal cells and the rate of their release into the systemic circulation (Gingerich, 1982). In addition, cellular vacuolization may be attributed to the accumulation of lipids and glycogen due to liver dysfunction. Pacheco and Santos (2002) reported that increased vacuolization of the hepatocytes is a signal of degeneration, which suggests metabolic damage, possibly related to exposure to contaminated water. A prevalence of irregular shaped cells, irregular shaped nuclei, nuclear degeneration, cellular rupture, pyknotic nuclei, and bile stagnation were also found in samples from the mixing zone. Navaraj and Yasmin (2012) reported similar findings in the liver of Oreochromis mossambicus exposed to tannery industry effluents. This observation is further corroborated by the findings of Olojo et al. (2005) in Clarias gariepinus collected from a metal contaminated ecosystem. The histopathological changes in the liver confirmed that these lesions also cause metabolic problems. The presence of bile stagnation in the liver of C. auratus indicates that the organ suffered structural and metabolic damage following exposure to sewage effluent, reinforcing the idea that this environment is substantially impaired (Pacheco and Santos, 2002).

Common alterations observed in the kidneys of fish collected from contaminated streams include nuclear hypertrophy, cellular hypertrophy, dilation of glomerulus capillaries, and cytoplasmic vacuolation (Takashima and Hibiya, 1995). In the mixing zone and downstream site, hyaline droplet degeneration, nuclear degeneration, tubular degeneration, cellular rupture, occlusion of tubule lumen, enlargement of glomerulus, dilatation of glomerulus capillaries, reduction of Bowman’s space, and glomerular degeneration were the most common lesions, and the changes were more severe in samples from the mixing zone than in those from the downstream site (Fig. 4 and Table 1). As indicated in Fig. 5, the MAV and DTC in kidneys were significantly higher in fish collected from the mixing zone and downstream site compared with those collected from the upstream site (p < 0.05). The MAV for fish from the upstream site was 1.33 ± 0.07, while it was 1.65 ± 0.6 and 1.40 ± 0.08 for fish from the mixing zone and downstream site, respectively. Higher MAV values were observed for liver tissue sampled from fish in the mixing zone and downstream site, which indicates predominantly low to moderate alterations with some high level alterations in kidney. The DTC for samples from the upstream site was 10.00 ± 5.48, which indicates normal tissue function (class A), with mainly stage I changes. Conversely, DTC values for samples from the mixing zone and downstream site were 41.12 ± 3.95 and 25.50 ± 3.73, respectively, indicating moderate to severe tissue damage (class C), with mainly stage I and II changes.

Similar findings, including dilation of the kidney tubules, shrinkage of the glomerular tuft, and vacuolation of blood cells have been also reported in Rasbora daniconius exposed to industrial wastewater (Pathan et al., 2009). During hyaline droplet degeneration, irregular-sized eosinophilic granules of may appear in the cytoplasm, and the accumulation of these granules can lead to necrosis. Granules may also be produced within the cell itself or by reabsorption of excess amounts of proteineous substances following filtration through the glomerulus (Takashima and Hibiya, 1995). These types of cellular injuries may result in reduced levels of intracellular ATP, which in turn would impair the action of the cation pump, permitting the influx of sodium, chloride, calcium, and water, increasing the cell volume and damaging the cell membrane, with the efflux of some ions (K+), enzymes and other proteins (Rand, 1995; Takashima and Hibiya, 1995). Occlusion of the proximal or distal segments of the renal tubule was observed frequently in fish from the mixing zone. This can occur in response to the accumulation of certain materials in the lumen (Takashima and Hibiya, 1995) and impairs the flow of the filtrate and delays the processes of reabsorption and secretion in the tubule (Hinton and Lauren, 1990). Since fish osmoregulate a large volume of blood through the kidneys, xenobiotics present in the blood can cause pathological changes to the Bowman’s capsule, including a reduction in Bowman’s space and sometimes rupture (Takashima and Hibiya, 1995). Similar alterations were also observed in the posterior kidney of Barbatula barbatula collected from two streams contaminated with pesticides and heavy metals (Schwaiger et al., 1997), in Prochilodus lineatus after trichlorfon exposure (Veiga et al., 2002), in Salmo trutta and B. barbatula both caged in streams contaminated with pesticides, polychlorinated biphenyls (PCBs), polycyclic aromatic hydrocarbons (PAHs) and metals (Gernhofer et al., 2001), in Trichomycterus brasiliensis exposed to organic mercury (Oliveira Ribeiro et al., 1996), and in Anguilla anguilla exposed to various concentrations of resin acids and pulp mill effluent (Pacheco and Santos, 2002).

Histopathological alterations observed in the gills, liver, and kidney of the C. auratus in the present study indicate that fish were responding to the direct effects of the contaminants present in the effluent as much as they were responding to the secondary effects caused by stress. It must be emphasized that histopathology is able to evaluate the early effects and responses to acute exposure to chemical stressors. The degree of alteration in fish tissue was in the order liver > kidney > gills. The liver was most affected because it is the organ responsible for the primary metabolism of the xenobiotics and plays a vital role in the biotransformation of these xenobiotics. Of the three sites studied, the mixing zone, which receives sewage effluent, was considered to be the most impaired because of high DTC values found for all three organs examined in fish sampled from this site. The average values determined for all tissues indicate that the highest DTC was observed in fish from the mixing zone (30.98 ± 5.40) followed by the downstream site (19.28 ± 4.31), with the lowest values in fish sampled from the upstream, or reference, site (4.83 ± 2.67). Reduced effects in fish sampled from the downstream site might be due to the distance from the point of effluent discharge, which reduces the effect of hazardous water pollutants by dilution and sedimentation processes.

4. Conclusions

The results of this study showed that effluents from a SWP induced oxidative stress in C. auratus living in the contaminated stream, as evidenced by the accumulation of lipid peroxidation as well as the induction of antioxidant enzymes, CAT and GST. In addition, significant histopathological changes in the gills, liver, and kidney of the crucian carp further confirm the adverse effects of the sewage effluent. These findings suggest that the integrated use of both semi-quantitative histopathology and biochemical indices is a useful tool to monitor contaminated rivers and streams. In order to identify the exact causes of damage in C. auratus, further investigations should be performed by measuring the levels of environmental contaminants in fish tissues.

Acknowledgements

This work was supported by the Korea Ministry of Environment as “Assessment of thermal effluent effects on aquatic ecosystem” and ‘‘Development of integrated model for climate change impact and vulnerability assessment’’. In addition, Dr. Palas Samanta was supported by the BK21 Plus program through the National Research Foundation (NRF) funded by the Ministry of Education of Korea.

References

1 
(1974), Catalase in vitro, Methods in Enzymology, Aebi, H. (1974). Catalase in vitro, Methods in Enzymology, 105, pp. 121-126., Vol. 105, pp. 121-126Google Search
2 
(2006), Response of Catalase Activity to Ag+, Cd2+, Cr6+, Cu2+ and Zn2+ in Five Tissues of Freshwater Fish Oreochromis niloticus, Comparative Biochemistry and Physiology Part C: Toxicology & Pharmacology, Atli, G., Alptekin, O., Tukel, S., and Canli, M. (2006). Response of Catalase Activity to Ag+, Cd2+, Cr6+, Cu2+ and Zn2+ in Five Tissues of Freshwater Fish Oreochromis niloticus, Comparative Biochemistry and Physiology Part C: Toxicology & Pharmacology, 143, pp. 218-224., Vol. 143, pp. 218-224DOI
3 
(2005), Changes in Antioxidant Enzyme Activities, Fatty Acid Composition and Lipid Peroxidation in Daphnia magna during the Aging Process, Comparative Biochemistry and Physiology Part C: Toxicology and Pharmacology, Barata, C., Varo, I., Navarro, J. C., Arun, S., and Porte, C. (2005). Changes in Antioxidant Enzyme Activities, Fatty Acid Composition and Lipid Peroxidation in Daphnia magna during the Aging Process, Comparative Biochemistry and Physiology Part C: Toxicology and Pharmacology, 140, pp. 175-186., Vol. 140, pp. 175-186DOI
4 
(2004), Biomarkers in Ruditapes decussatus: A Potential Bioindicator Species, Biomarkers, Bebianno, M. J., Geret, F., Hoarau, P., Serafim, M. A., Coelho, M. R., Gnassia-Barelli, M., and Romeo, M. (2004). Biomarkers in Ruditapes decussatus: A Potential Bioindicator Species, Biomarkers, 9, pp. 300-305., Vol. 9, pp. 300-305DOI
5 
(1999), Increase of Metallothionein-immunopositive Chloride Cells in the Gills of Brown Trout and Rainbow Trout after Exposure to Sewage Treatment Plant Effluents, Histochemistry Journal, Burkhardt-Holm, P., Bernet, D., and Hogstrand, C. (1999). Increase of Metallothionein-immunopositive Chloride Cells in the Gills of Brown Trout and Rainbow Trout after Exposure to Sewage Treatment Plant Effluents, Histochemistry Journal, 31, pp. 339-346., Vol. 31, pp. 339-346DOI
6 
(2004), Relationship Between Two Oxidative Stress Biomarkers, Malondialdehyde and 8-Oxo-7, 8-Dihydro-2'-deoxyguanosine, in The Freshwater Bivalve Unio tumidus, Science of the Total Environment, Charissou, A. M., Cossu-Leguille, C., and Vasseur, P. (2004). Relationship Between Two Oxidative Stress Biomarkers, Malondialdehyde and 8-Oxo-7, 8-Dihydro-2'-deoxyguanosine, in The Freshwater Bivalve Unio tumidus, Science of the Total Environment, 322, pp. 109-122., Vol. 322, pp. 109-122DOI
7 
(2008), Molecular Characterization and mRNA Expression of Glutathione Peroxidase and Glutathione S-transferase during Osmotic Stress in Olive Flounder (Paralichthys olivaceus), Comparative Biochemistry and Physiology Part A: Molecular and Integrative Physiology, Choi, C. Y., An, K. W., and An, M. I. (2008). Molecular Characterization and mRNA Expression of Glutathione Peroxidase and Glutathione S-transferase during Osmotic Stress in Olive Flounder (Paralichthys olivaceus), Comparative Biochemistry and Physiology Part A: Molecular and Integrative Physiology, 149, pp. 330-337., Vol. 149, pp. 330-337DOI
8 
(2000), Selected Oxidative Enzymes and Histopathological Changes in the Gills of Cyprinus carpio and Oreochromis mossambicus Cultured in Secondary Sewage Effluent, Water Research, Coutinho, C. and Gokhale, K. S. (2000). Selected Oxidative Enzymes and Histopathological Changes in the Gills of Cyprinus carpio and Oreochromis mossambicus Cultured in Secondary Sewage Effluent, Water Research, 34, pp. 2997-3004., Vol. 34, pp. 2997-3004DOI
9 
(2004), Modulation in Hepatic and Head Kidney Parameters of Carp (Cyprinus carpio l.) Induced by Copper and Chitosan, Comparative Biochemistry and Physiology Part C: Toxicology and Pharmacology, Dautremepuits, C. S., Paris-palacios, S., Betoulle, S., and Vernet, G. (2004). Modulation in Hepatic and Head Kidney Parameters of Carp (Cyprinus carpio l.) Induced by Copper and Chitosan, Comparative Biochemistry and Physiology Part C: Toxicology and Pharmacology, 137, pp. 325-333., Vol. 137, pp. 325-333DOI
10 
(1995), Biochemical Mechanisms: Metabolism, Adaptation and Toxicity, In Fundamentals of Aquatic Toxicology: Effects, Environmental Fate and Risk Assessment, Rand, G. M. (Ed.), Di Giulio, R. T., Benson, W. H., Sanders, B. M., and van Veld, P. A. (1995). Biochemical Mechanisms: Metabolism, Adaptation and Toxicity, In Fundamentals of Aquatic Toxicology: Effects, Environmental Fate and Risk Assessment, Rand, G. M. (Ed.), Washington DC: Taylor and Francis, pp. 523-561,, pp. 523-561Google Search
11 
(1993), Effects of Black River Harbor Sediments on Indices of Biotransformation, Oxidative Stress and DNA Integrity in Channel Catfish, Aquatic Toxicology, Di Giulio, R. T., Habig, C., and Gallagher, E. P. (1993). Effects of Black River Harbor Sediments on Indices of Biotransformation, Oxidative Stress and DNA Integrity in Channel Catfish, Aquatic Toxicology, 26, pp. 1-22., Vol. 26, pp. 1-22DOI
12 
(2010), Biomarkers of Oxidative Stress as Indicators of Environmental Pollution in Some Selected Fishes in Lagos, Nigeria, American-Eurasian Journal of Agricultural and Environmental Sciences, Doherty, V. F., Ogunkuade, O. O., and Kanife, U. C. (2010). Biomarkers of Oxidative Stress as Indicators of Environmental Pollution in Some Selected Fishes in Lagos, Nigeria, American-Eurasian Journal of Agricultural and Environmental Sciences, 7, pp. 359-365., Vol. 7, pp. 359-365Google Search
13 
(2002), Free Radicals in the Physiological Control of Cell Function, Physiological Reviews, Dröge, W. (2002). Free Radicals in the Physiological Control of Cell Function, Physiological Reviews, 82, pp. 47-95., Vol. 82, pp. 47-95DOI
14 
(1999), Some Effects of the Fungicide Propiconazole on Cytochrome P450 and Glutathione S-Transferase in Brown Trout (Salmo trutta), Comparative Biochemistry and Physiology Part C: Pharmacology, Toxicology and Endocrinology, Egaas, E., Sandvik, M., Fjeld, E., Källqvist, T., Goksøyr, A., and Svensen, A. (1999). Some Effects of the Fungicide Propiconazole on Cytochrome P450 and Glutathione S-Transferase in Brown Trout (Salmo trutta), Comparative Biochemistry and Physiology Part C: Pharmacology, Toxicology and Endocrinology, 122, pp. 337-344., Vol. 122, pp. 337-344DOI
15 
(1988), Fundamentos de limnologia, Esteves, F. A. (1988). Fundamentos de limnologia, Rio de Janeiro: Interciencia/FINEP.Google Search
16 
(2003), Histopathology of the Fish Corydoras paleatus Contaminated with Sublethal Levels of Organophosphorus in Water and Food, Ecotoxicology and Environmental Safety, Fanta, E., Rios, F. S., Romao, S., Vianna, A. C. C., and Freiberger, S. (2003). Histopathology of the Fish Corydoras paleatus Contaminated with Sublethal Levels of Organophosphorus in Water and Food, Ecotoxicology and Environmental Safety, 54, pp. 119-130., Vol. 54, pp. 119-130DOI
17 
(2007), Biomarker of Oxidative Stress and Heavy Metals as Indicators of Pollution in African Catfish (c. Gariepinus) from Ogun River, Nigeria, International Journal of Environmental Research and Public Health, Farombi, E. O., Adelowo, O. A., and Ajimoo, Y. R. (2007). Biomarker of Oxidative Stress and Heavy Metals as Indicators of Pollution in African Catfish (c. Gariepinus) from Ogun River, Nigeria, International Journal of Environmental Research and Public Health, 4, pp. 158-165., Vol. 4, pp. 158-165DOI
18 
(1995), International Mussel Watch Project: Initial Implementation Phase, Final Report, NOAA Tech Memorandum NOS ORCA 95, US Department of Commerce, National Oceanic and Atmospheric Administration, Farrington, J. W. and Tripp, B. W. (1995). International Mussel Watch Project: Initial Implementation Phase, Final Report, NOAA Tech Memorandum NOS ORCA 95, US Department of Commerce, National Oceanic and Atmospheric Administration, Silver Spring, MD, USA, pp. 5-59., pp. 5-59Google Search
19 
(2003), Environmental Pollution and Fish Gill Morphology, In; Val, A. L. and Kapoor; B. G. (Ed.), Fernandes, M. N. and Mazon, A. F. (2003). Environmental Pollution and Fish Gill Morphology, In; Val, A. L. and Kapoor; B. G. (Ed.), Fish adaptations Enfield Science Publishers, pp. 203-231., pp. 203-231Google Search
20 
(2007), Histopathological Changes in Epithelium of Nile Tilapia, Oreochromis niloticus, Exposed to Waterborne Copper, Pesquisa Veterinária Brasileira, Figueiredo-Fernadens, A., Ferreira-Cardoso, J. V., Garcia-Santos, S., Monteiro, S. M., Carrola, J., Matos, P., and Fontainhas-Fernandes, A. (2007). Histopathological Changes in Epithelium of Nile Tilapia, Oreochromis niloticus, Exposed to Waterborne Copper, Pesquisa Veterinária Brasileira, 27, pp. 103-109., Vol. 27, pp. 103-109Google Search
21 
(2001), Ultrastructural Biomarkers as Tools to Characterize the Health Status of Fish in Contaminated Streams, Journal of Aquatic Ecosystem and Stress Recovery, Gernhofer, M., Pawet, M., Schramm, M., Muller, E., and Triebskorn, R. (2001). Ultrastructural Biomarkers as Tools to Characterize the Health Status of Fish in Contaminated Streams, Journal of Aquatic Ecosystem and Stress Recovery, 8, pp. 241-260., Vol. 8, pp. 241-260DOI
22 
(1991), Arsenic and Cadmium Toxicity in the Alimentary Canal and Digestion of Two Indian Air-Breathing Teleosts notopterus notopterus (Pallas) and Heteropneustes fossilis (Bloch), Ghosh, A. R. (1991). Arsenic and Cadmium Toxicity in the Alimentary Canal and Digestion of Two Indian Air-Breathing Teleosts notopterus notopterus (Pallas) and Heteropneustes fossilis (Bloch), Ph.D. thesis, The University of Burdwan.Google Search
23 
(2006), The Biology of Streams and Rivers, Giller, P. S. and Malmqvist, B. (2006). The Biology of Streams and Rivers, New York: Oxford University Press.Google Search
24 
(1982), Hepatic Toxicology in Fish, In L. J. Weber (Ed.), Gingerich, W. H. (1982). Hepatic Toxicology in Fish, In L. J. Weber (Ed.), Aquatic toxicology New York: Raven Press, pp. 55-105., pp. 55-105Google Search
25 
(1974), Glutathione S-transferases, The First Enzymatic Step in Mercapturic Acid Formation, Journal of Biological Chemistry, Habig, W. H., Pabst, M. J., and Jakoby, W. B. (1974). Glutathione S-transferases, The First Enzymatic Step in Mercapturic Acid Formation, Journal of Biological Chemistry, 249, pp. 7130-7139., Vol. 249, pp. 7130-7139Google Search
26 
(1998), Occurrence, Fate and Effects of Pharmaceutical Substances in the Environment-a Review, Chemosphere, Halling-Sorensen, B., Nors Nielsen, S., Lanzky, P. F., Ingerslev, F., Holten Lutzhoft, H. C., and Jorgensen, S. E. (1998). Occurrence, Fate and Effects of Pharmaceutical Substances in the Environment-a Review, Chemosphere, 36, pp. 357-393., Vol. 36, pp. 357-393DOI
27 
(1992), Histopathologic Biomarkers, In; Huggett, R. J., Kimerli, R. Mehrle, A. P. M. Jr., Bergman, H. L. (Ed.), Biomarkers: Biochemical, Physiological and Histological Markers of Anthropogenic Stress, Hinton, D. E., Baumann, P. C., Gardner, G., Hawkins, W. E., Hendricks, J. D., Murchelano, R. A., and Okihiro, M. S. (1992). Histopathologic Biomarkers, In; Huggett, R. J., Kimerli, R. Mehrle, A. P. M. Jr., Bergman, H. L. (Ed.), Biomarkers: Biochemical, Physiological and Histological Markers of Anthropogenic Stress, Lewis Publishers, Boca Raton, USA, pp. 155-196., pp. 155-196Google Search
28 
, Integrative Histopathological Approaches to Detecting Effects of Environmental Stressors on Fishes, Hinton, D. E. and Lauren, D. J. (1990). Integrative Histopathological Approaches to Detecting Effects of Environmental Stressors on Fishes, American Fisheries Society Symposium, 8, pp. 51-66., pp. 51-66Google Search
29 
(2004), Effects of Treated Sewage Effluent on Immune Function in Rainbow Trout (Oncorhynchus mykiss), Aquatic Toxicology, Hoeger, B., van den Heuvel, M. R., Hitzfelt, B. C., and Dietrich, D. R. (2004). Effects of Treated Sewage Effluent on Immune Function in Rainbow Trout (Oncorhynchus mykiss), Aquatic Toxicology, 70, pp. 345-355., Vol. 70, pp. 345-355DOI
30 
(1960), The Biology of Polluted Waters, Hynes, H. B. N. (1960). The Biology of Polluted Waters, Liverpool, UK: Liverpool University.Google Search
31 
(2006), Influence of High Levels of Total Suspended Solids on Measurement of COD and BOD in the Yellow River, China, Environmental Monitoring and Assessment, Jingsheng, C., Tao, Y., and Ongley, E. (2006). Influence of High Levels of Total Suspended Solids on Measurement of COD and BOD in the Yellow River, China, Environmental Monitoring and Assessment, 116, pp. 321-334., Vol. 116, pp. 321-334DOI
32 
(2014), Spatial and Temporal Variations of Water Quality in an Urban Miho Stream and Some Influences of the Tributaries on the Water Quality, Journal of Environmental Science International, Kim, J. I., Choi, J. W., and An, K. G. (2014). Spatial and Temporal Variations of Water Quality in an Urban Miho Stream and Some Influences of the Tributaries on the Water Quality, Journal of Environmental Science International, 23, pp. 433-445., Vol. 23, pp. 433-445DOI
33 
(2002), Oxidation of Biological Systems: Oxidative Stress Phenomena, Antioxidants, Redox Reactions and Methods for Their Quantification, Toxicologic Pathology, Kohen, R. and Nyska, A. (2002). Oxidation of Biological Systems: Oxidative Stress Phenomena, Antioxidants, Redox Reactions and Methods for Their Quantification, Toxicologic Pathology, 30, pp. 620-650., Vol. 30, pp. 620-650DOI
34 
(1999), Ethinyloestradiol-an Undesired Fish Contraceptive?, Aquatic Toxicology, Larsson, D. G. J., Adolfsson-Erici, M., Parkkonen, J., Pettersson, M., Berg, A. H., Olsson, P. E., and Forlin, L. (1999). Ethinyloestradiol-an Undesired Fish Contraceptive?, Aquatic Toxicology, 45, pp. 91-97., Vol. 45, pp. 91-97DOI
35 
(2010), Modulation of Glutathione-Related Antioxidant Defense System of Fish Chronically Treated by the Fungicide Propiconazole, Comparative Biochemistry and Physiology Part C, Li, Z. H., Zlabek, V., Grabic, R., Li, P., and Randak, T. (2010). Modulation of Glutathione-Related Antioxidant Defense System of Fish Chronically Treated by the Fungicide Propiconazole, Comparative Biochemistry and Physiology Part C, 152, pp. 392-398., Vol. 152, pp. 392-398Google Search
36 
(1951), Protein Measurement with Folin Phenol Reagent, Journal of Biological Chemistry, Lowry, D. H., Rosenbrough, N. J., Farr, A. L., and Randall, R. J. (1951). Protein Measurement with Folin Phenol Reagent, Journal of Biological Chemistry, 193, pp. 265-275., Vol. 193, pp. 265-275Google Search
37 
(2005), Biomarker Responses and Reproductive Toxicity of the Effluent from a Chinese Large Sewage Treatment Plant in Japanese Medaka (Oryzias latipes), Chemosphere, Ma, T. W., Wan, X. Q., Huang, Q. H., Wang, Z. J., and Liu, J. K. (2005). Biomarker Responses and Reproductive Toxicity of the Effluent from a Chinese Large Sewage Treatment Plant in Japanese Medaka (Oryzias latipes), Chemosphere, 59, pp. 281-288., Vol. 59, pp. 281-288DOI
38 
(2011), Evaluation of the Sub-lethal Toxicity of Bleached Kraft Pulp Mill Effluent to Carassius auratus and Dicentrarchus labrax, Water Air and Soil Pollution, Mario, S., Diniz, R., Ana, C., Teresa, F. A., Rocha-Santos, P., Luisa, C., Isabel, P., and Armando, C. D. (2011). Evaluation of the Sub-lethal Toxicity of Bleached Kraft Pulp Mill Effluent to Carassius auratus and Dicentrarchus labrax, Water Air and Soil Pollution, 217, pp. 35-45., Vol. 217, pp. 35-45DOI
39 
(2005), Antioxidant Defenses in Fish: Biotic and Abiotic Factors, Reviews in Fish Biology and Fisheries, Martinez-Alvarez, R. M., Morales, A. E., and Sanz, A. (2005). Antioxidant Defenses in Fish: Biotic and Abiotic Factors, Reviews in Fish Biology and Fisheries, 15, pp. 75-88., Vol. 15, pp. 75-88DOI
40 
(1986), Antioxidant Enzyme Activities and Malondialdehyde, Glutathione and Methemoglobin Concentrations in Channel Catfish Exposed to DEF and N-butyl Mercaptan, Comparative Biochemistry and Physiology Part C, Mather-Mihaich, E. and DiGiulio, R. T. (1986). Antioxidant Enzyme Activities and Malondialdehyde, Glutathione and Methemoglobin Concentrations in Channel Catfish Exposed to DEF and N-butyl Mercaptan, Comparative Biochemistry and Physiology Part C, 85, pp. 427-432., Vol. 85, pp. 427-432DOI
41 
(2007), Double Mutants Deficient in Cytosolic and Thylakoid Ascorbate Peroxidase Reveal a Complex Mode of Interaction Between Reactive Oxygen Species, Plant Development and Response to Abiotic Stresses, Plant Physiology, Miller, G., Suzuki, N., Rizhsky, L., Hegie, A., Koussevitzkys, S., and Miller, R. (2007). Double Mutants Deficient in Cytosolic and Thylakoid Ascorbate Peroxidase Reveal a Complex Mode of Interaction Between Reactive Oxygen Species, Plant Development and Response to Abiotic Stresses, Plant Physiology, 144, pp. 1777-1785., Vol. 144, pp. 1777-1785DOI
42 
(2006), Development of Integrated Methodology for Evaluation of Water Environment (III), Ministry of Environment (MOE). (2006). Development of Integrated Methodology for Evaluation of Water Environment (III), Sejong, Republic of Korea: Ministry of Environment.Google Search
43 
(2014), Standard Methods for Examination of Water Quality, Ministry of Environment (MOE). (2014). Standard Methods for Examination of Water Quality, Sejong, Republic of Korea: Ministry of Environment.Google Search
44 
(2007), Oxidative Stress Biomarkers in the Freshwater Characid Fish, Brycon cephalus, Exposed to Organophosphorus Insecticides Follisuper 600 (Methyl Parathion), Comparative Biochemistry and Physiology Part C: Toxicology and Pharmacology, Monterio, D. A., Almedia, J. A., Rantin, F. T., and Kalinin, A. L. (2007). Oxidative Stress Biomarkers in the Freshwater Characid Fish, Brycon cephalus, Exposed to Organophosphorus Insecticides Follisuper 600 (Methyl Parathion), Comparative Biochemistry and Physiology Part C: Toxicology and Pharmacology, 143, pp. 141-149., Vol. 143, pp. 141-149DOI
45 
(2012), Toxicological Evaluation of Tannery Industry Waste Water on Oreochromis mossambicus, African Journal of Environmental Science and Technology, Navaraj, P. S. and Yasmin, J. (2012). Toxicological Evaluation of Tannery Industry Waste Water on Oreochromis mossambicus, African Journal of Environmental Science and Technology, 6, pp. 331-336., Vol. 6, pp. 331-336DOI
46 
(2004), Oxidative Stress Responses in Longnose Sucker (Catostomus catostomus) Exposed to Pulp and Paper Mill and Municipal Sewage Effluents, Aquatic Toxicology, Oakes, K. D., McMaster, M. E., and van Der Kraak, G. J. (2004). Oxidative Stress Responses in Longnose Sucker (Catostomus catostomus) Exposed to Pulp and Paper Mill and Municipal Sewage Effluents, Aquatic Toxicology, 67, pp. 255-271., Vol. 67, pp. 255-271DOI
47 
(1996), Lethal Effects of Inorganic Mercury On Cells and Tissues of Trichomycterus brasiliensis (Pisces; Siluroidei), Biocell, Oliveira Ribeiro, C. A., Fanta, E., Turcatti, N. M., Cardoso, R. J., and Carvalho, C. S. (1996). Lethal Effects of Inorganic Mercury On Cells and Tissues of Trichomycterus brasiliensis (Pisces; Siluroidei), Biocell, 20, pp. 171-178., Vol. 20, pp. 171-178Google Search
48 
(2005), Histopathology of the Gill and Liver Tissues of the African Catfish Clarias gariepinus Exposed to Lead, African Journal of Biotechnology, Olojo, E. A. A., Olurin, K. B., Mbaka, G., and Oluwemimo, A. D. (2005). Histopathology of the Gill and Liver Tissues of the African Catfish Clarias gariepinus Exposed to Lead, African Journal of Biotechnology, 4, pp. 117-122., Vol. 4, pp. 117-122Google Search
49 
(2001), Variability in Acetylcholinesterase and Glutathione S-transferase Activities in Chironomus Riparus Meigen Deployed in Situ at Uncontaminated Field Sites, Environmental Toxicology and Chemistry, Olsen, T., Ellerbeck, L., Fisher, T., Callaghan, A., and Crane, M. (2001). Variability in Acetylcholinesterase and Glutathione S-transferase Activities in Chironomus Riparus Meigen Deployed in Situ at Uncontaminated Field Sites, Environmental Toxicology and Chemistry, 20, pp. 1725-1732., Vol. 20, pp. 1725-1732DOI
50 
(2002), Biotransformation, Genotoxic and Histopathological Effects of Environmental Contaminants in European Eel (Anguilla anguilla L.), Ecotoxicology and Environmental Safety, Pacheco, M. and Santos, M. A. (2002). Biotransformation, Genotoxic and Histopathological Effects of Environmental Contaminants in European Eel (Anguilla anguilla L.), Ecotoxicology and Environmental Safety, 53, pp. 331-347., Vol. 53, pp. 331-347DOI
51 
(2003), Biomarkers of Oxidative Stress: A Comparative Study of River Yamuna Fish Wallago attu (Bl. and Schn), Science of the Total Environment, Pandey, S., Parvez, S., Sayeed, I., Haque, R., BinHafeez, B., and Raisuddin, S. (2003). Biomarkers of Oxidative Stress: A Comparative Study of River Yamuna Fish Wallago attu (Bl. and Schn), Science of the Total Environment, 309, pp. 105-115., Vol. 309, pp. 105-115DOI
52 
(2010), Histopathological Alterations in Catla Catla Induced by Chronic Exposure of Copper Ions, Journal of Cell and Tissue Research, Patel, J. M. and Bahadur, A. (2010). Histopathological Alterations in Catla Catla Induced by Chronic Exposure of Copper Ions, Journal of Cell and Tissue Research, 10, pp. 2365-2370., Vol. 10, pp. 2365-2370Google Search
53 
(2009), Toxicity and Behavioural Changes in Freshwater Fish Rasbora daniconus Exposed to Tannery Mill Effluent, Botany Research International, Pathan, T. S., Sonawane, D. L., and Khillare, Y. K. (2009). Toxicity and Behavioural Changes in Freshwater Fish Rasbora daniconus Exposed to Tannery Mill Effluent, Botany Research International, 2, pp. 263-266., Vol. 2, pp. 263-266Google Search
54 
(2010), Seasonal Variations of the Activity of Antioxidants Defense Enzymes in The Red Mullet (Mullus barbatus) from Adriatic Sea, Marine Drugs, Pavlović, S. Z., Borković Mitić, S. S., Radovanović, T. B., Perendija, B. R., Despotović, S. G., Gavrić, J. P., and Saicić, Z. S. (2010). Seasonal Variations of the Activity of Antioxidants Defense Enzymes in The Red Mullet (Mullus barbatus) from Adriatic Sea, Marine Drugs, 8, pp. 413-428., Vol. 8, pp. 413-428DOI
55 
(1996), Organic Pollutants in The Effluents of Large Wastewater Treatment Plants in Sweden, Water Research, Paxeus, N. (1996). Organic Pollutants in The Effluents of Large Wastewater Treatment Plants in Sweden, Water Research, 30, pp. 1115-1122., Vol. 30, pp. 1115-1122DOI
56 
(1996), Screening for Non-regulated Organic Compounds in Municipal Wastewater in Goteborg, Sweden, Water Science and Technology, Paxeus, N. and Schroder, H. F. (1996). Screening for Non-regulated Organic Compounds in Municipal Wastewater in Goteborg, Sweden, Water Science and Technology, 33, pp. 9-15., Vol. 33, pp. 9-15DOI
57 
(1994), Fish Gills as a Monitor of Sublethal and Chronic Effects of Pollution, In; R. Müller, R. Lloyd (Ed.), Sublethal and Chronic Effects of Pollutants on Freshwater Fish, Poleksić, V. and Mitrović-Tutundžić, V. (1994). Fish Gills as a Monitor of Sublethal and Chronic Effects of Pollution, In; R. Müller, R. Lloyd (Ed.), Sublethal and Chronic Effects of Pollutants on Freshwater Fish, Fishing News Books, Oxford, UK, pp. 339-352., pp. 339-352Google Search
58 
(1995), Fundamentals of Aquatic Toxicology: Effects, Environmental Fate, and Risk Assessment, Rand, G. M. (1995). Fundamentals of Aquatic Toxicology: Effects, Environmental Fate, and Risk Assessment, Taylor and Francis, Washington, USA.Google Search
59 
(2002), Oxidative Stress in Ecotoxicology: From the Analysis of Individual Antioxidants to a More Integrated Approach, Marine Environmental Research, Regoli, F., Gorbi, S., Frenzilli, G., Nigro, M., Corsi, I., Focardi, S., and Winston, G. W. (2002). Oxidative Stress in Ecotoxicology: From the Analysis of Individual Antioxidants to a More Integrated Approach, Marine Environmental Research, 54, pp. 419-423., Vol. 54, pp. 419-423DOI
60 
(2002), Morpho-histochemical Changes in the Gills of Turbot, Scophthalmus maximus L., Induced by Sodium Dodecyl Sulfate, Ecotoxicology and Environmental Safety, Rosety-Rodriguez, M., Ordonez, F. J., Rosety, M., Rosety, J. M., Ribelles, A., and Carrasco, C. (2002). Morpho-histochemical Changes in the Gills of Turbot, Scophthalmus maximus L., Induced by Sodium Dodecyl Sulfate, Ecotoxicology and Environmental Safety, 51, pp. 223-228., Vol. 51, pp. 223-228DOI
61 
(1997), The Use of Histopathological Indicators to Evaluate Contaminant-related Stress in Fish, Journal of Aquatic Ecosystem and Stress Recovery, Schwaiger, J., Wanke, R., Adam, S., Pawert, M., Honnen, W., and Triebskorn, R. (1997). The Use of Histopathological Indicators to Evaluate Contaminant-related Stress in Fish, Journal of Aquatic Ecosystem and Stress Recovery, 6, pp. 75-86., Vol. 6, pp. 75-86DOI
62 
(2004), Reproductive and Biochemical Biomarkers in Largemouth Bass Sampled Downstream of a Pulp and Paper Mill in Florida, Ecotoxicology and Environmental Safety, Sepulveda, M. S., Gallagher, E. P., Wieser, C. M., and Gross, T. S. (2004). Reproductive and Biochemical Biomarkers in Largemouth Bass Sampled Downstream of a Pulp and Paper Mill in Florida, Ecotoxicology and Environmental Safety, 57, pp. 431-440., Vol. 57, pp. 431-440DOI
63 
(2002), Seasonal Variation of Plasmatic and Hepatic Vitellogenin and EROD Activity in Carp, Cyprinus carpio, in Relation to Sewage Treatment Plants, Aquatic Toxicology, Sole, M., Barcelo, D., and Porte, C. (2002). Seasonal Variation of Plasmatic and Hepatic Vitellogenin and EROD Activity in Carp, Cyprinus carpio, in Relation to Sewage Treatment Plants, Aquatic Toxicology, 60, pp. 233-248., Vol. 60, pp. 233-248DOI
64 
(2010), Heavy Metal Contamination in Suspended Solid of Changjiang River-Environmental Implication, Geoderma, Song, Y., Ji, J., Mao, C., Yang, Z., Yuan, X., Ayoko, G. A., and Forst, R. L. (2010). Heavy Metal Contamination in Suspended Solid of Changjiang River-Environmental Implication, Geoderma, 159, pp. 286-295., Vol. 159, pp. 286-295DOI
65 
(2002), Estrogenicity of Domestic and Industrial Effluents in Sweden, Aquatic Ecosystem and Health Management, Svenson, A., Orn, S., Allard, A. S., Viktor, T., Parkkonen, J., Olsson, P. E., Forlin, L., and Norrgren, L. (2002). Estrogenicity of Domestic and Industrial Effluents in Sweden, Aquatic Ecosystem and Health Management, 5, pp. 423-434., Vol. 5, pp. 423-434DOI
66 
(1995), An Atlas of Fish Histology: Normal and Pathological Features, Takashima, F. and Hibya, T. (1995). An Atlas of Fish Histology: Normal and Pathological Features, Kodansha, Tokyo.Google Search
67 
(1997), Histopathologic Biomarkers in Feral Freshwater Fish Populations Exposed to Different Types of Contaminant Stress, Aquatic Toxicology, Teh, S. J., Adams, S. M., and Hinton, D. E. (1997). Histopathologic Biomarkers in Feral Freshwater Fish Populations Exposed to Different Types of Contaminant Stress, Aquatic Toxicology, 37, pp. 51-70., Vol. 37, pp. 51-70DOI
68 
(2003), Histopathological Alterations of White Seabass, Lates calcarifer in Acute and Subchronic Cadmium Exposure, Environmental Pollution, Thophon, S., Kruatrachue, M., Upathan, E. S., Pokethitiyook, P., Sahaphong, S., and Jarikhuan, S. (2003). Histopathological Alterations of White Seabass, Lates calcarifer in Acute and Subchronic Cadmium Exposure, Environmental Pollution, 121, pp. 307-320., Vol. 121, pp. 307-320DOI
69 
(1982), Structural and Circulatory Changes in the Secondary Lamella of Salmo Gaidneri Gills to Dehydioabietic Acid and Zinc, Aquatic Toxicology, Tuurala, H. and Soivio, A. (1982). Structural and Circulatory Changes in the Secondary Lamella of Salmo Gaidneri Gills to Dehydioabietic Acid and Zinc, Aquatic Toxicology, 2, pp. 21-29., Vol. 2, pp. 21-29DOI
70 
(2006), Molecular Biomarkers of Oxidative Stress in Aquatic Organisms in Relation to Toxic Environmental Pollutants, Ecotoxicology and Environmental Safety, Valavanidis, A., Vlahogianni, T., Dassenakis, M., and Scoullos, M. (2006). Molecular Biomarkers of Oxidative Stress in Aquatic Organisms in Relation to Toxic Environmental Pollutants, Ecotoxicology and Environmental Safety, 64, pp. 178-189., Vol. 64, pp. 178-189DOI
71 
(2003), Fish Bioaccumulation and Biomarkers in Environmental Risk Assessment: A Review, Environmental Toxicology and Pharmacology, van der Oost, R., Beyer, J., and Vermeulen, N. P. E. (2003). Fish Bioaccumulation and Biomarkers in Environmental Risk Assessment: A Review, Environmental Toxicology and Pharmacology, 13, pp. 57-149., Vol. 13, pp. 57-149DOI
72 
(2002), Histopathologic Changes in the Kidney Tissue of Prochilodus lineatus, 1836 (Characiformes, Prochilodontidae) Induced by Sublethal Concentration of Trichlorfon Exposure, Brazilian Archives of Biology and Technology, Veiga, M. L., Rodrigues, E. L., Pacheco, F. J., and Ranzani-Paiva, M. J. T. (2002). Histopathologic Changes in the Kidney Tissue of Prochilodus lineatus, 1836 (Characiformes, Prochilodontidae) Induced by Sublethal Concentration of Trichlorfon Exposure, Brazilian Archives of Biology and Technology, 45, pp. 171-175., Vol. 45, pp. 171-175DOI
73 
(2004), Sublethal Effect of Naphthalene on Lipid Peroxidation and Antioxidant Status in the Edible Marine Crab Scylla serrata, Marine Pollution Bulletin, Vijayavel, K., Gomathi, R. D., Durgabhavani, K., and Balasubramanian, M. P. (2004). Sublethal Effect of Naphthalene on Lipid Peroxidation and Antioxidant Status in the Edible Marine Crab Scylla serrata, Marine Pollution Bulletin, 48, pp. 429-433., Vol. 48, pp. 429-433DOI
74 
(1991), The Usefulness of Histopathology in Aquatic Toxicity Studies, Comparative Biochemistry and Physiology Part C, Wester, P. W. and Canton, J. H. (1991). The Usefulness of Histopathology in Aquatic Toxicity Studies, Comparative Biochemistry and Physiology Part C, 100, pp. 115-117., Vol. 100, pp. 115-117DOI
75 
(2001), Biomarcadores Histologicos e Fisiologicos para o Monitoramento da Saude de Peixes de Ribeiroes de Londrina, Estado do Parana, Acta Scientiarum, Winkaler, E. U., Silva, A. G., Galindo, H. C., and Martinez, C. B. R. (2001). Biomarcadores Histologicos e Fisiologicos para o Monitoramento da Saude de Peixes de Ribeiroes de Londrina, Estado do Parana, Acta Scientiarum, 23, pp. 507-514., Vol. 23, pp. 507-514Google Search
76 
(1999), Assessment of the Comparative Toxicity of Sewage Effluent from 10 sewage Treatment Plants in the Area of Sydney, Australia Using an Amphipod and Two Sea Urchin Bioassays, Marine Pollution Bulletin, Woodworth, J. G., King, C., Miskiewicz, A. G., Laginestra, E., and Simon, J. (1999). Assessment of the Comparative Toxicity of Sewage Effluent from 10 sewage Treatment Plants in the Area of Sydney, Australia Using an Amphipod and Two Sea Urchin Bioassays, Marine Pollution Bulletin, 39, pp. 174-178., Vol. 39, pp. 174-178DOI
77 
(2011), Evaluation of Environmental Pollution at Munzur River of Tunceli Applying Oxidative Stress Biomarkers in Capoeta trutta (Heckel, 1843), Journal of Animal and Plant Sciences, Yildirin, N. C., Benzer, F., and Danabas, D. (2011). Evaluation of Environmental Pollution at Munzur River of Tunceli Applying Oxidative Stress Biomarkers in Capoeta trutta (Heckel, 1843), Journal of Animal and Plant Sciences, 21, pp. 66-71., Vol. 21, pp. 66-71Google Search
78 
(2013), Identification of Toxicity Variations in a Stream Affected by Industrial Effluents Using Daphnia magna and Ulva pertusa, Journal of Hazardous Materials, Yoo, J., Ahn, B., Oh, J. J., Han, T., Kim, W. K., Kim, S., and Jung, J. (2013). Identification of Toxicity Variations in a Stream Affected by Industrial Effluents Using Daphnia magna and Ulva pertusa, Journal of Hazardous Materials, 260, pp. 1042-1049., Vol. 260, pp. 1042-1049DOI